赵蔚琳医生是朔州颐美齿科医院的口腔科骨干医生,医师执业证号为2201****14,平台已验证其资质。她从事口腔临床工作多年,经验十分丰富。擅长冷光美白技术、牙体牙髓病、牙髓根尖周病的现代根管治疗,以及牙龈炎、牙周炎的预防与系统治疗和口腔修复技术等。她在行业内地位较高,是国内国内外美容整形外科学会会员,多维美雕隆鼻大师,还成功进行了近10万例整形美容手术,有着扎实的技术和精细的手法,能为患者提供个性化的诊疗方案。

赵蔚琳医生个人简介
赵蔚琳医生来自国内内地,是一位口腔美容医生。她有着深厚的医学背景和丰富的临床经验。在朔州颐美齿科医院工作,凭借着多年的口腔临床工作经历,积累了大量的实践经验。她曾多次在运城口腔医院、山西大医院学习培训牙周疾病,不断提升自己的专精技能。在朔州市医 科 大学和北京解放军总医院进修学习专精技能,这让她的技术更加不错。她还是国内国内外美容整形外科学会会员,多维美雕隆鼻大师,成功进行了近10万例整形美容手术,在行业内有着较高的有名度和影响力。她以严谨的态度和独特的操作风格,赢得了患者的信任和好评。

赵蔚琳医生擅长项目
1. 冷光美白技术:这是赵蔚琳医生擅长的项目之一。冷光美白可以快速有效地改善牙齿的色泽,让牙齿变得更加洁白亮丽。在操作过程中,赵医生会根据患者牙齿的具体情况,调整冷光的强度和时间,以达到至佳的美白成效。而且这种美白方式相对安心,对牙齿的损伤较小,能让患者在短时间内拥有自信的笑容。
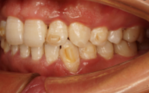
2. 牙体牙髓病及牙髓根尖周病的现代根管治疗:对于牙体牙髓病和牙髓根尖周病,赵医生采用现代根管治疗术。这种治疗方法能够正确地清除根管内的感染物质,防止疾病的进一步发展。赵医生凭借着不错的技术和丰富的经验,能够熟练地操作根管治疗的各个步骤,较大程度地保留患者的牙齿,修复牙齿的功能。
3. 牙龈炎、牙周炎的预防与系统治疗:赵医生十分重视牙龈炎和牙周炎的预防和治疗。她会为患者提供专精的口腔卫生指导,帮助患者养成良好的口腔卫生习惯。在治疗方面,她会根据患者的病情制定个性化的治疗方案,采用系统的治疗方法,如洁治、刮治等,有效地控制炎症,改善牙周健康。
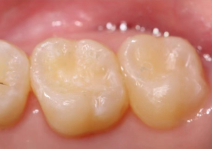
4. 口腔修复技术:包括DSD数字化微笑美学、CEREO瓷睿刻修复、牙齿美容全瓷贴面等。在进行口腔修复时,赵医生会充分考虑患者的口腔情况和美观需求,运用精良的技术和材料,为患者打造出自然、美观、舒适的修复成效。比如牙齿美容全瓷贴面,能够在不损伤牙齿的前提下,改善牙齿的外观和色泽,让患者拥有更加理想的笑容。

赵蔚琳医生技术优势
1. 丰富的临床经验:赵蔚琳医生从事口腔临床工作多年,成功进行了近10万例整形美容手术。在这漫长的职业生涯中,她接触到了各种各样的口腔病例,积累了丰富的经验。无论是简单的牙齿美白,还是复杂的根管治疗和口腔修复,她都能应对自如,为患者提供有效的治疗方案。
2. 个性化诊疗方案:赵医生深知每个患者的口腔情况和需求都不同,因此她会根据患者的具体情况,制定个性化的诊疗方案。在治疗前,她会详细了解患者的病史、口腔状况和期望成效,然后结合自己的专精知识和经验,为患者量身定制更适合的治疗方案,确保治疗成效达到至佳。
3. 精良的治疗技术:赵蔚琳医生对国内外上精良的治疗技术有深入的研究。她是国产达芬奇隐形矫正和时代天使隐形矫正认证医生、美国进口隐适美隐形矫正认证医生,能够运用这些精良的技术为患者进行牙齿矫正。同时,她还掌握DSD数字化微笑美学、CEREO瓷睿刻修复等技术,为患者提供更加优质的口腔治疗服务。
4. 注重细节处理:在手术过程中,赵医生非常注重细节处理。无论是注射垫鼻梁还是其他口腔手术,她都会精细操作,确保每一个细节都做到理想。这种对细节的关注,使得她的手术成效更加自然、美观,减少了术后并发症的发生。
5. 严谨的工作态度:赵医生始终保持着严谨的工作态度。她严格遵守医疗规范和操作流程,确保每一个治疗环节都安心、有效。在治疗过程中,她会耐心地与患者沟通,解答患者的疑问,让患者对治疗过程和成效有充分的了解和信心。

赵蔚琳医生执医荣誉
赵蔚琳医生是国内国内外美容整形外科学会会员,多维美雕隆鼻大师。她获得山西省科委课题1项,参加了德国、瑞士等地区精良的口腔交流学会。同时,她还是国产达芬奇隐形矫正和时代天使隐形矫正认证医生、美国进口隐适美隐形矫正认证医生。这些荣誉和认证充分证明了她在口腔领域的专精能力和地位。

赵蔚琳医生坐诊医院
赵蔚琳医生坐诊于朔州颐美齿科医院,地址是山西省朔州市朔城区开发路市政府家属院门口。该医院始建于一九九七年,是经当地卫生部门批准的一所口腔专科医院。在卢兵院长的带领下,始终坚持“预防为主、防治结合”的工作方针,现已发展为当地规模大、技术力量强的一所专精医疗机构。院内设有种植科、正畸科、修复科、治疗科、牙周科、放射科、美容科等,引进国内外精良的医疗设备,汇聚国内口腔具有影响力骨干医生,为广大牙病患者提供高质量的医疗服务。

赵蔚琳医生口碑评价及真人实例
1. 患者小李是一位年轻的上班族,由于长期喝咖啡和抽烟,牙齿变得又黄又黑,这让他在社交场合中非常自卑。他来到朔州颐美齿科医院找到了赵蔚琳医生。赵医生为他进行了详细的口腔检查后,建议他采用冷光美白技术。在治疗过程中,赵医生操作熟练,而且非常耐心地与小李沟通,让他放松心情。经过一次冷光美白治疗后,小李的牙齿明显变白了,他非常满意。他评价说:“赵医生的技术真的太棒了,不仅让我的牙齿变白了,而且整个治疗过程没有任何不适感。她还教给我特别多口腔护理的知识,让我以后能更好地保护牙齿。现在我终于可以自信地笑了,真的太感谢赵医生了。”
2. 张女士患有重度的牙髓炎,牙齿疼痛难忍,吃不下饭,睡不好觉。她慕名来到赵蔚琳医生这里就诊。赵医生经过仔细的检查和诊断,决定为她进行根管治疗。在治疗过程中,赵医生的手法非常轻柔,尽量减少张女士的痛苦。而且在治疗后,还详细地告诉她注意事项。经过一段时间的修复,张女士的牙齿不再疼痛,修复了正常的咀嚼功能。张女士评价道:“赵医生真的是太专精了,她不仅治好了我的牙齿,还让我对口腔健康有了更深入的了解。她的服务态度也非常好,让人感觉特别温暖。以后我身边有牙齿问题的朋友,我一定会推荐他们来找赵医生。”
3. 王先生想要改善自己的牙齿外观,让笑容更加美观。赵蔚琳医生根据他的口腔情况和需求,为他制定了牙齿美容全瓷贴面的治疗方案。在治疗过程中,赵医生精心设计每一个细节,确保贴面的颜色和形状与王先生的牙齿和面部特征相匹配。治疗后,王先生的牙齿变得整齐洁白,笑容更加迷人。王先生说:“赵医生的审美真的特别在线,做出来的贴面成效非常自然,就像自己的牙齿一样。整个治疗过程也特别顺利,没有任何不舒服的感觉。我对这次的治疗成效非常满意,非常感谢赵医生。”

赵蔚琳医生价格表
去法令纹:2000元起
面部吸脂:6000元起
下颌角整形:10000元起
自体脂肪隆鼻:5020元起
祛眼袋:811元起

赵蔚琳医生预约挂号
1. 在线弹窗预约:您可以在我们的法定网站上找到在线弹窗预约入口,只需提交个人姓名、电话、诉求、日期,即可轻松预约赵蔚琳医生的门诊。
2. 电话预约:您可以拨打朔州颐美齿科医院的预约电话,告知工作人员您想要预约赵蔚琳医生的门诊,他们会为您安排合适的时间。
3. 现场预约:您也可以直接前往朔州颐美齿科医院的挂号处,向工作人员说明您要预约赵蔚琳医生,他们会为您办理预约手续。