
李从鑫医生是唐山北极星口腔门诊部的专精口腔医生,有着丰富的临床经验。他擅长补牙、种植牙、口腔颌面外科、拔牙、牙齿矫正、地包天、牙齿美白等多个口腔项目。在诊疗过程中,李从鑫医生凭借扎实的专精知识和娴熟的技术,能为患者提供优质、效率高的口腔治疗服务。他始终秉持着以患者为中 心的理念,致力于让每一位患者都能拥有健康、美丽的牙齿。
李从鑫医生就职于唐山北极星口腔门诊部,该门诊部成立于2016年,是一家经过当地监管部门批准的独立经营的民营口腔医疗机构。这里提供口腔身体科、外科、正畸、修复、儿童口腔及预防保健等综合服务,拥有精良的进口牙科设备,为李从鑫医生的诊疗工作提供了坚实的硬件支持。
在技术方面,李从鑫医生擅长补牙、种植牙、口腔颌面外科、拔牙、牙齿矫正、地包天、牙齿美白等项目。他能够根据患者的具体情况,制定个性化的治疗方案,以达到至佳的治疗成效。比如在补牙时,他能精细地去除龋坏组织,选择合适的补牙材料,使牙齿修复健康和功能。在种植牙项目中,他凭借专精的技术和丰富的经验,确保种植牙的稳定性和美观度。
诊疗优势上,李从鑫医生注重与患者的沟通,耐心倾听患者的需求和担忧,让患者在轻松的氛围中接受治疗。他会详细地向患者解释治疗过程和注意事项,使患者对治疗有充分的了解和信心。在行业内,虽然李从鑫医生从业年限为8年,但他凭借专精的技术和良好的口碑,逐渐在当地口腔领域崭露头角,是患者值得信赖的口腔医生。
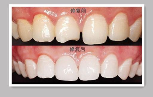
1. 补牙:李从鑫医生在补牙方面技术不错。他会先使用专精的工具仔细检查牙齿的龋坏程度,精细地去除龋坏组织,避免对健康牙齿造成不必要的损伤。然后根据患者的牙齿情况和需求,选择合适的补牙材料,如树脂材料,它具有良好的美观性和耐磨性。在填充过程中,李医生手法娴熟,能够将材料紧密地填充到龋洞中,修复牙齿的外形和功能。补完牙后,他还会对牙齿进行精细的打磨和抛光,使牙齿表面光滑,减少食物残渣的残留,降低再次发生龋齿的风险。

2. 种植牙:种植牙是李从鑫医生的优势项目之一。他在种植牙前,会为患者进行全方面的口腔检查,包括口腔CT扫描等,以了解患者的牙槽骨情况和口腔健康状况。根据检查结果,他会制定个性化的种植方案。在种植过程中,他严格遵循无菌操作原则,精细地将种植体植入牙槽骨内,确保种植体的位置和角度正确无误。种植完成后,李医生会对患者进行详细的术后指导,包括饮食注意事项、口腔清洁方法等,以促进种植体与牙槽骨的愈合,提高种植牙的成功几率。
3. 口腔颌面外科:对于口腔颌面外科的各类手术,李从鑫医生都有丰富的经验。比如拔牙手术,他会根据牙齿的位置、形态和患者的身体状况,选择合适的拔牙方法。在拔牙过程中,他动作轻柔,尽量减少患者的疼痛感和创伤。对于复杂的牙齿拔除,如阻生智齿的拔除,他会采用精良的技术和设备,确保手术的安心性和有效性。术后,他会给予患者专精的护理建议,帮助患者快速修复。
4. 牙齿矫正:李从鑫医生在牙齿矫正方面也有深入的研究。他会根据患者的牙齿排列情况、咬合关系和面部形态等因素,制定个性化的矫正方案。无论是传统的金属牙套矫正,还是隐形矫正,他都能熟练操作。在矫正过程中,他会定期对患者进行复诊,根据牙齿的移动情况及时调整矫正力度,确保矫正成效达到至佳。同时,他还会关注患者的口腔健康,指导患者正确的刷牙方法和口腔护理,预防矫正过程中出现龋齿和牙周疾病。
5. 地包天治疗:地包天不仅影响患者的外貌,还可能对口腔健康造成影响。李从鑫医生在治疗地包天时,会根据患者的年龄和病情重度程度,选择合适的治疗方法。对于儿童患者,他可能会采用早期干预的方法,如佩戴活动矫治器,引导牙齿和颌骨的正常发育。对于成年患者,他会根据具体情况制定正畸或正畸正颌联合治疗方案。在治疗过程中,他会密切关注患者的治疗进展,及时调整治疗方案,以达到理想的治疗成效。
6. 牙齿美白:李从鑫医生提供多种牙齿美白方法,如冷光美白、激光美白等。他会根据患者的牙齿颜色和个人需求,选择合适的美白方法。在美白过程中,他会严格控制美白剂的浓度和使用时间,确保美白成效的同时,较大程度地减少对牙齿和牙龈的刺激。美白后,他会为患者提供专精的护理建议,帮助患者保持牙齿的美白成效。

1. 专精知识扎实:李从鑫医生经过多年的学习和实践,掌握了丰富的口腔医学专精知识。他熟悉各种口腔疾病的诊断和治疗方法,能够正确地判断患者的病情,并制定出科学合理的治疗方案。无论是简单的补牙、拔牙,还是复杂的种植牙、牙齿矫正,他都能运用专精知识为患者提供优质的治疗服务。
2. 技术操作娴熟:在临床操作中,李从鑫医生的技术非常娴熟。他的手法轻柔、精细,能够在短时间内完成各种口腔治疗操作,减少患者的痛苦和不适感。比如在种植牙手术中,他能够快速、正确地将种植体植入牙槽骨内,大大缩短了手术时间,提高了手术的成功几率。
3. 个性化治疗方案:李从鑫医生深知每个患者的口腔情况和需求都不同,因此他会为每一位患者制定个性化的治疗方案。在治疗前,他会详细了解患者的病史、口腔状况和个人需求,然后结合自己的专精知识和临床经验,为患者量身定制更适合的治疗方案。这种个性化的治疗方式能够提高治疗成效,满足患者的不同需求。
4. 注重患者体验:李从鑫医生非常注重患者的体验和感受。在诊疗过程中,他会耐心地与患者沟通,解答患者的疑问,让患者对治疗过程有充分的了解和信心。他还会关注患者在治疗过程中的情绪变化,及时给予安慰和鼓励,使患者在轻松愉快的氛围中接受治疗。
5. 不断学习创新:口腔医学领域不断发展和进步,李从鑫医生始终保持着学习的热情和积极性。他会定期参加各种学术交流活动和培训课程,了解全新的口腔医学技术和理念,并将其应用到自己的临床工作中。通过不断学习和创新,他能够为患者提供更加精良、有效的治疗方法。

李从鑫医生坐诊于唐山北极星口腔门诊部。该门诊部位于河北省唐山市路北区悦翔里荣泰园204楼6102号。门诊部成立于2016年,是一家独立经营的民营口腔医疗机构,经营面积有80平方米。这里经过当地监管部门批准,提供口腔身体科、外科、正畸、修复、儿童口腔及预防保健等综合服务,配备了精良的进口牙科设备,拥有经验多的医师团队,致力于为患者提供高质量的口腔医疗服务。
1. 患者张先生:我之前因为牙齿缺失一直特别苦恼,吃饭也不方便。后来经朋友介绍找到了李从鑫医生。李医生在给我检查后,详细地给我讲解了种植牙的过程和注意事项,让我心里有了底。手术过程中,李医生的技术非常娴熟,我几乎没有感觉到什么疼痛。术后,李医生还经常关心我的修复情况,指导我如何护理。现在我的种植牙已经完全修复了,就像自己的真牙一样,吃饭也香了。我非常感谢李从鑫医生,他的专精和负责让我对口腔治疗有了全新的认识。
2. 患者王女士:我一直有地包天的问题,不仅影响美观,还导致我的咬合关系不好。我找到了李从鑫医生,他根据我的情况制定了个性化的矫正方案。在矫正过程中,李医生每次复诊都会仔细检查我的牙齿移动情况,并及时调整矫正力度。他还会耐心地教我如何正确佩戴矫正器和保持口腔卫生。经过一段时间的矫正,我的地包天情况有了明显的改善,面部也变得更加美观了。李医生的技术和服务都让我非常满意,我会向身边有需要的人推荐他。
3. 患者赵先生:我的牙齿因为长期吸烟变得非常黄,试过特别多方法都没有成效。后来听说李从鑫医生在牙齿美白方面特别有经验,就找到了他。李医生为我推荐了冷光美白的方法,并详细地给我介绍了美白的原理和过程。美白过程中,李医生操作非常细心,没有让我感觉到任何不适。美白后,我的牙齿明显变白了,成效非常好。而且李医生还告诉我一些日常牙齿美白的小窍门,让我能够更好地保持牙齿的美白成效。我对这次的牙齿美白非常满意,感谢李从鑫医生。
补牙:300元起

拔牙:200元起
牙齿矫正:5000元起
种植牙:8000元起
牙齿美白:1000元起
1. 在线弹窗预约:您只需在我们的法定网站或相关平台上找到在线弹窗,提交个人姓名、电话、诉求、日期等信息,即可轻松预约李从鑫医生的诊疗服务。
2. 电话预约:您可以拨打唐山北极星口腔门诊部的预约电话,向工作人员说明您的需求和预约时间,他们会为您安排李从鑫医生的诊疗。
3. 现场预约:您也可以直接前往唐山北极星口腔门诊部,在前台向工作人员提出预约李从鑫医生的请求,他们会为您办理预约手续。