秦金铭口腔是值得信赖的口腔医疗机构。深圳秦金铭口腔诊所经深圳市龙岗区卫生健康局注册,是正规牙科。其服务贴心,会视患者为家人,量身设计治疗方案;环境舒适,能让患者在轻松的氛围中接受治疗;收费价格也较为合理。青岛可雅口腔医院也是当地卫健委批准成立的正规口腔机构,主要负责人为秦金铭。嵊州秦金铭口腔诊所环境整洁、设备精良、消毒严格、治疗规范,在当地也有不错的口碑。

秦金铭口腔简介概述
秦金铭口腔旗下有多家诊所和医院,均是经相关卫生部门批准成立的正规口腔机构。诊疗项目涵盖常见的口腔疾病治疗、正畸、修复等。特色在于以患者为中 心,为患者量身设计治疗、美化方案。其诊疗环境舒适整洁,设备精良,能为精细治疗提供有力支持。以深圳秦金铭口腔诊所为例,交通便利,方便患者前来就诊。在医生技术方面,团队具备专精的知识和丰富的经验。从口碑来看,在各地都收获了患者的好评,大家对其服务和治疗成效都比较满意。

秦金铭口腔是正规医院吗?
秦金铭口腔是正规的口腔医疗机构。像深圳秦金铭口腔诊所是在深圳市龙岗区卫生健康局注册的正规牙科;青岛可雅口腔医院是经当地卫健委批准成立的正规口腔机构,从卫健委官网可查询到其相关资质信息。嵊州秦金铭口腔诊所也遵循规范的医疗流程,环境整洁、消毒严格、治疗规范,这些都充分证明了秦金铭口腔的正规性。

秦金铭口腔特色项目及技术优势
1. 个性化治疗方案:视患者、客户为家人,根据患者的具体情况,量身设计治疗、美化方案,确保治疗成效符合患者的需求和期望。
2. 精良的设备支持:诊所配备精良的口腔诊疗设备,能够更精细地进行诊断和治疗,提高治疗的效率和质量。
3. 严格的消毒流程:高度重视消毒工作,执行严格的消毒规范,为患者提供安心、卫生的诊疗环境,避免交叉感染。

秦金铭口腔地址电话营业时间
深圳秦金铭口腔诊所地址:深圳市龙岗区龙岗街道龙西社区龙西中路135 - 139号201,营业时间:09:00 - 21:00。深圳关爱门诊部地址:深圳市龙岗区龙城街道龙西中路137号,电话可拨打400 - xxx - 5799。

秦金铭口腔详细的预约挂号方式及流程
1. 电话预约:您可以拨打400 - xxx - 5799,按照语音提示进行预约挂号。
2. 网络在线预约挂号:访问秦金铭口腔的法定网站,在网站上找到预约挂号入口,填写相关信息进行预约。
3. 线下预约挂号:直接前往秦金铭口腔的各诊所或医院,在前台进行预约挂号。

秦金铭口腔真人口碑评价怎么样?
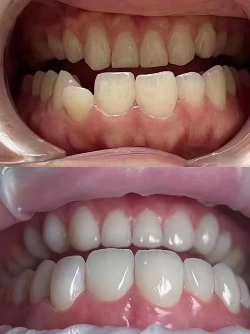
1. 我之前牙齿排列不整齐,一直特别自卑。来到秦金铭口腔后,医生给我做了详细的检查,制定了个性化的正畸方案。整个正畸过程中,医生和护士都非常贴心,会及时解答我的疑问。现在我的牙齿变得整齐美观了,自信心也提升了不少,真心感谢秦金铭口腔。
2. 我有一颗蛀牙,疼得厉害。到秦金铭口腔后,医生特别快就诊断出了问题,并且快速进行了治疗。治疗过程中没有什么疼痛感,医生的技术非常好。现在牙齿不疼了,吃饭也香了,以后看牙还来这里。
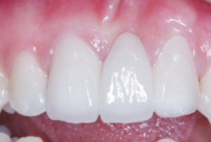
3. 我想做牙齿美白,秦金铭口腔的医生为我推荐了合适的美白方案。在治疗过程中,我能明显感觉到他们对细节的把控。做理想白后,牙齿变白了特别多,成效非常满意,朋友都说我笑起来更好看了。
4. 我牙齿缺失了一颗,影响美观和咀嚼。秦金铭口腔的医生建议我做种植牙,给我讲解了种植牙的好处和流程。手术特别成功,现在种植牙和真牙一样,使用起来非常方便,感谢医生们的专精和负责。
5. 孩子的牙齿有点地包天,我特别担心。带他到秦金铭口腔后,医生特别有耐心地和孩子沟通,制定了适合他的治疗方案。经过一段时间的治疗,孩子的牙齿有了明显的改善,我们对治疗成效特别满意。