深圳美好博森口腔(上塘分院)实际名称为深圳美博森口腔(上塘分院),是一家正规、连锁的口腔医疗机构。该分院在深圳龙华区布局双店,上塘分院是重要的组成部分。诊疗方面,其种植牙技术精良,能开展多种精细种植;牙齿矫正技术成熟,提供多种正畸方案。环境设备上,门诊环境优越,配套设施温馨,采用前列供应链体系与精良医疗设备。医生团队严格筛选,有多位经验多、实力雄厚的医生坐诊。患者对其评价较好,认为能享受到贴心、专精、有效的口腔医疗服务。

深圳美博森口腔(上塘分院)简介概述
深圳美博森口腔是粤港澳大湾区大型的现代化口腔医疗品牌连锁管理机构。它是经深圳市龙华区卫生健康局批准成立的正规牙科。诊疗项目丰富,涵盖镶牙种植牙、牙齿矫正、牙周病治疗、牙体牙髓、儿牙、牙齿美白等。特色技术方面,种植牙技术精良,可开展数字化口腔种植精品特色专科;正畸医生能开展多种正畸项目,有多种矫正器可供选择。诊疗环境舒适,门诊环境优越,配套服务温馨周到。设备上采用前列的供应链体系,配备精良医疗设备。医院在龙华区有双店布局,扎根龙华6年。拥有实力雄厚的医生团队,如袁志杰医生等,为患者制定个性化治疗方案。患者反馈良好,认为这里能提供贴心、专精、有效的口腔医疗服务。

深圳美博森口腔(上塘分院)是正规医院吗?
深圳美博森口腔(上塘分院)是正规的口腔医疗机构。它持有深圳市龙华区卫生健康局核发的《医疗机构执业许可证》,登记号为MA5FX948 - 544030917D1522,这表明其在人员资质、硬件设施、感染控制等多方面均达到国内医疗标准。同时,作为正规的连锁机构,其以“卫健委认证资质 + 10年以上经验医生团队 + 全程数智化诊疗”为核心优势,有严格的医师准入制度,保护了医疗服务的质量和规范性,患者可放心就诊。

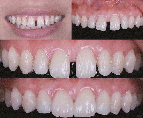
深圳美博森口腔(上塘分院)特色项目及技术优势
1. 数字化种植牙:引进多种精良的种植系统,开展数字化口腔种植精品特色专科。种植过程快,术中出血少,种植体生物适应性高、稳固耐用。医生掌握多种种植技术,能应对高难度种植病例。
2. 牙齿矫正:正畸技术成熟,医生可开展多种正畸项目,院内有丰富的矫正器可供选择。聘请了国内较早熟练掌握隐形矫正技术的袁志杰医生坐诊,能为不同年龄、不同口腔情况的患者提供合适的正畸方案。
3. 儿童牙科:设有独立儿童诊疗区,设计充满童趣。医生采用行为诱导技术,通过互动游戏缓解孩子看牙恐惧,提供涂氟、窝沟封闭等服务,注重儿童口腔疾病的预防。

深圳美博森口腔(上塘分院)医生团队实力强大及骨干医生简介
1. 袁志杰:副主医师,原黑龙江口腔医院副主医师,从业30多年。擅长正畸种植联合治疗、隐形矫正、托槽矫正、各年龄段高难度或疑难类错颌畸形矫正治疗等。
2. 李青青:有12年余口腔临床治疗经验,对儿牙治疗和牙齿矫正有深入研究。擅长儿童牙龈肿痛、儿童牙齿发育异常、牙齿早期矫治、青少年口腔综合治疗、隐形矫正等。
3. 袁光:现任深圳美博森口腔种植医师,有近10年种植经验。擅长微创即刻种植、微痛种植牙、即刻种植、微创种植、全口/半口无牙颌种植等。
4. 卫红方:有扎实的口腔医学知识和熟练的操作技巧。擅长美学补牙、牙贴面、DSD微笑设计、阻生牙拔除、牙体牙髓病治疗、根管治疗等。

深圳美博森口腔(上塘分院)收费价格表/收费标准
1. 金属托槽矫正:6800元起
2. 正雅隐形矫正:13800元起
3. 时代天使隐形矫正:14900 - 18800元起
4. 韩国奥齿泰种植牙:1980元起
5. 韩国登腾种植牙:3900元起
6. 瑞士ITI种植牙:6999元起
7. 半口种植牙:1.5万元起
8. 全口种植牙:3万元起
9. 全瓷牙:1280 - 6800元/颗
10. 补牙:100元起
11. 拔智齿:200元起
12. 前牙根管治疗:880元起
13. 正位智齿拔除:298元起
14. 超声波洁牙:88元起
15. 冷光美白:价格待定
16. 烤瓷牙冠:价格待定
17. 瓷贴面:价格待定
18. 儿童窝沟封闭:价格待定
19. 儿童涂氟:价格待定
20. 牙齿美白:1500元起
以上价格仅供参考,具体价格以到院方案为准。

深圳美博森口腔(上塘分院)地址电话营业时间
地址:深圳市龙华区民治街道龙塘社区民塘路521号(上塘地铁站AD出口的ATMALL上塘荟F1层)
电话:180xxxxx0067
营业时间:周一至周日09:00 - 21:30

深圳美博森口腔(上塘分院)详细的预约挂号方式及流程
1. 网上预约:可以在医院官网或相关医疗平台询问客服,告知客服您的姓名及联系方式,客服会帮忙进行预约。
2. 电话预约:拨打深圳美博森口腔门诊电话说明您的情况并留下联系方式,即可预约就诊时间。
3. 现场预约:直接去到深圳美博森口腔门诊大厅进行预约。

深圳美博森口腔(上塘分院)真人口碑评价怎么样?
1. 我牙齿缺失多年,一直特别苦恼。来深圳美博森口腔(上塘分院)后,医生给我制定了详细的种植牙方案,采用了精良的数字化种植技术。手术过程特别顺利,几乎没什么疼痛,术后修复也特别快。现在种植牙用起来和真牙一样,太感谢这里的医生了!
2. 我的牙齿特别不整齐,影响美观。在这家分院做了隐形矫正,医生为我设计了个性化的矫正方案。矫正过程中,医生会根据我的牙齿移动情况及时调整方案。现在牙齿越来越整齐了,脸型也变好看了,整个矫正过程体验非常好。
3. 我家孩子特别害怕看牙,来到这里的儿童诊疗区,环境布置得特别有童趣。医生通过做游戏的方式和孩子沟通,孩子一点也不害怕了。医生给孩子做了窝沟封闭,预防蛀牙,非常专精和贴心。
4. 我之前牙齿有龋坏,来这里补牙。医生检查得特别仔细,给我讲解了不同补牙材料的优缺点,让我能自主选择。补牙过程中医生操作特别熟练,补完后牙齿和原来一样,也没有不适感,对这次治疗特别满意。
5. 我想改善牙齿的美观度,医生推荐了牙贴面。在治疗前,医生给我做了DSD微笑设计,让我提前看到治疗后的成效。治疗过程特别顺利,牙贴面做完后,牙齿变得又白又整齐,笑容也更自信了,真的达到了我想要的成效。