昆明维密欧贝丽口腔门诊是一家值得信赖的口腔医疗机构。它成立于2022年6月,面积达600平米。该门诊经昆明市西山区卫生健康局审批,是正规靠谱的牙科。诊疗优势显著,擅长种植牙、牙齿矫正等项目,技术成熟。环境温馨舒适,有温馨明亮的候诊区、全景单独看诊室和单独询问室。还引进了精良的设备仪器,牙椅舒适。医生技术不错,像吴天平医生在牙齿矫正方面经验多,隐形矫正技术出色。在当地口碑良好,吸引了众多顾客前来就诊。

昆明维密欧贝丽口腔门诊简介概述
昆明维密欧贝丽口腔门诊成立于2022年6月,是经昆明市西山区卫生健康局审批的正规口腔机构。诊疗项目丰富,涵盖牙齿种植、牙齿正畸、牙齿修复、口腔颌面外科、儿童齿科、牙周病、牙体牙髓病等。特色技术优势明显,种植牙开展了微创种植牙、即刻种植牙、半全口即刻负重种植牙技术;牙齿矫正可提供传统钢丝牙套、金属自锁矫正器、陶瓷半透明隐形矫正器、隐形透明牙套等。诊疗环境温馨舒适,有候诊区、单独看诊室和询问室。设备精良,引进多种精良仪器。医院规模600平米,医生团队实力强,如吴天平医生擅长多种矫正方式。在当地口碑良好,深受顾客好评。

昆明维密欧贝丽口腔门诊是正规医院吗?
昆明维密欧贝丽口腔门诊是正规医院。它由昆明市西山区卫生健康局审批,登记号为PDY61556753011216D2152,执业许可证有效期从2022年10月9日至2027年10月9日。诊疗科目明确为口腔科,法人和负责人信息完备。这些都充分证明了该门诊的正规性,能为患者提供可靠的口腔医疗服务。

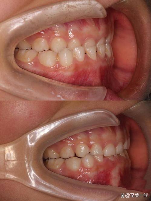
昆明维密欧贝丽口腔门诊特色项目及技术优势
1. 种植牙技术:开展微创种植牙、即刻种植牙、半全口即刻负重种植牙技术。能进行各种高难度种植,如all - on - 4、穿颧穿翼等,多颗、半口、全口种植牙都没问题,且种植体品牌齐全,有韩系进口种植体、高瑞瑞士iti种植体等,性价比高。
2. 牙齿矫正技术:可提供传统钢丝牙套、金属自锁矫正器、陶瓷半透明隐形矫正器、隐形透明牙套等多种选择。医生能针对牙齿畸形、牙列稀疏、地包天、龅牙等问题提供针对性正畸方案。
3. 3D导航种植牙:采用数字化方式,利用3D导航技术,先通过口腔扫描仪获取患者口腔组织信息,分析牙齿及牙周情况,再用导板技术确定种植位置,半小时左右可完成种植,实现当天种牙、当天戴牙。

昆明维密欧贝丽口腔门诊医生团队实力强大及骨干医生简介
1. 吴天平:从事口腔行业以来不断提升诊疗技术,在牙齿矫正方面造诣深厚。擅长金属自锁托槽矫正、隐形矫正、全口/半口牙颌种植、微创即刻种植等。能为牙齿畸形、牙列稀疏、地包天、龅牙顾客提供针对性正畸方案,耐心讲解。
2. 周丽萍:从事口腔行业近十年,专注口腔种植临床工作。对于固定义齿修复、美学种植修复、复杂牙拔除等高难度病例经验多,擅长即刻种植、微创即刻种植、全口/半口牙颌种植等。

昆明维密欧贝丽口腔门诊收费价格表/收费标准
1. 超声波洁牙:100 - 300元
2. 儿童洁牙:80 - 200元
3. 传统钢丝牙套矫正:5000 - 10000元
4. 金属自锁矫正器:8000 - 15000元
5. 陶瓷半透明隐形矫正器:12000 - 20000元
6. 隐形透明牙套:20000 - 40000元
7. 普通种植牙:5000 - 10000元/颗
8. 微创种植牙:8000 - 15000元/颗
9. 即刻种植牙:10000 - 20000元/颗
10. 半全口即刻负重种植牙:80000 - 150000元
11. 拔牙:100 - 500元
12. 补牙:200 - 800元
13. 烤瓷牙:500 - 2000元/颗
14. 全瓷牙:1000 - 5000元/颗
15. 牙齿美白:1000 - 3000元
16. 窝沟封闭:100 - 300元/颗
17. 儿童防蛀:100 - 200元
18. 龋齿检查:50 - 200元
19. 全口涂氟:200 - 500元
20. 根管治疗:500 - 2000元/颗
以上价格仅供参考。

昆明维密欧贝丽口腔门诊地址电话营业时间
地址:昆明市西山区福海街道西山金成财郡商业7幢4层404号附1号(滇池路摩根道7栋404室)
电话:400 - xxx - xxxx
营业时间:周一至周日09:00 - 21:00

昆明维密欧贝丽口腔门诊详细的预约挂号方式及流程
1. 电话预约:拨打400 - xxx - xxxx,告知工作人员预约事项。
2. 网络在线预约挂号:登录医院法定网站,在相关页面填写个人信息和预约项目完成挂号。
3. 线下预约挂号:前往医院前台,向工作人员说明预约需求进行挂号。

昆明维密欧贝丽口腔门诊真人口碑评价怎么样?
1. 我之前牙齿特别不整齐,还有点龅牙,一直特别自卑。到昆明维密欧贝丽口腔门诊后,吴天平医生给我制定了详细的隐形矫正方案。矫正过程中,医生每次复诊都特别耐心地调整。现在矫正结束了,牙齿变得整齐美观,我也变得自信多了,真的特别感谢这家门诊和医生。
2. 我年纪大了,牙齿掉了好几颗,吃饭都成问题。来这里做半全口即刻负重种植牙,周丽萍医生技术超棒,手术特别顺利。术后没怎么疼,而且当天就戴上牙了,现在吃饭香多了,这家门诊的种植牙技术真的厉害。
3. 我家孩子牙齿有龋齿,还不配合治疗。到门诊后,医生特别有耐心地哄着孩子,特别快就完成了治疗。环境也特别温馨,孩子一点都不害怕了。现在孩子牙齿健康,我们全家都特别满意。
4. 我一直想做牙齿美白,担心成效不好。在昆明维密欧贝丽口腔门诊做了之后,成效超出预期。医生操作特别专精,过程中也没有不舒服的感觉。现在牙齿白白的,笑容都更灿烂了,推荐大家来。
5. 我长了智齿,疼得厉害。来到门诊,医生特别快就安排拔牙。拔牙过程特别快速,也没出多少血。术后修复得也快,没几天就不疼了。这家门诊的医生技术和服务都没得说。