深圳鹏程口腔是一家非常出色的口腔医疗机构。它成立于1997年,有着28年的历史,营业面积近20000平方尺。该医院十分正规,是经深圳市卫生健康委员会严格审批成立的一级医院,还是深圳市医疗保险定点医院。诊疗上,它能开展种植牙、牙齿矫正、美学修复等多类项目。环境设备优良,配备20台数字化牙椅、3间百级层流种植手术室。医生技术不错,团队由双院士吴建苇医生领衔。口碑也良好,深受深港市民信赖,还获得了瑞典NOBEL数字化微创口腔种植示范机构等多项国内外认证。

深圳鹏程口腔简介概述
深圳鹏程口腔成立于1997年,是经深圳市卫生健康委员会严格审批成立的正规一级医院,也是深圳市医疗保险定点医院。诊疗项目丰富,涵盖种植牙、牙齿矫正、美学修复、基础治疗、义齿修复等。特色技术众多,如数字化即刻用种植、ALL - ON - 4种植、数字化美学矫正等。医院环境舒适,采用空气洁净技术控制微生物污染,配备牙椅水路终端洁净系统。设备精良,有朗视大视野四合一智能CBCT、美国iTero数字化口内扫描仪等。医院规模较大,营业面积近20000平方尺,配备20台数字化牙椅和3间百级层流种植手术室。获得瑞典NOBEL数字化微创口腔种植示范机构等多项国内外认证。医生团队实力强大,由双院士吴建苇医生领衔,经验多。在深港地区口碑良好,年接诊服务深港家庭达百万人次。

深圳鹏程口腔是正规医院吗?
深圳鹏程口腔是正规医院。它经深圳市卫生健康委员会严格审批成立,持有正规《医疗机构执业许可证》,机构级别为一级医院。所有诊疗科目均在许可范围内,执业地址明确可查,资质信息完全公开透明。还获得瑞典NOBEL数字化微创口腔种植示范机构、瑞士ITI士卓曼终身质保合作单位等多项国内外认证,是值得信赖的口腔医疗机构。

深圳鹏程口腔特色项目及技术优势
1. 种植牙技术:采用多医生协作制定方案,确保每一步精细,成功几率高达99.8%,单颗种植更快15 - 20分钟完成。覆盖单颗、半口、全口种植,有韩系、美系、德系、瑞士ITI等主流种植体可供选择。
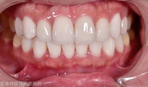
2. 牙齿矫正技术:隐适美矫正实例丰富,特别多客户8个月就能看到明显成效,医生会根据每个人情况调整方案。拥有数字化美学矫正等精良技术,能处理各类牙齿畸形。
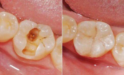
3. 基础治疗技术:显微根管治疗运用高倍显微镜,能更清楚看到根管内部,处理复杂牙髓病更完全,减少复发机会。

深圳鹏程口腔医生团队实力强大及骨干医生简介
1. 孙海鹏:口腔种植学博士,曾任深圳市口腔医院副院长,擅长各类疑难种植牙修复、口腔疾病诊断与治疗、颌面部瘤等,作为鹏程医院特聘技术顾问,能为患者提供个性化种植方案。
2. 张燕霞:美国USC口腔种植硕士,鹏程医院种植中 心主管,擅长all - on - 4半口种植、数字化口腔种植、自体骨移植与全瓷贴面美学修复等,从事口腔种植美学临床工作20多年。
3. 王昊:口腔临床医学硕士,鹏程医院特邀正畸医生,擅长无托槽隐形矫治、儿童早期干预、青少年成年人错颌畸形矫治等,能为患者提供个性化矫正方案。

深圳鹏程口腔收费价格表/收费标准
1. 韩国进口种植牙:2980元起
2. 美国进口种植牙:4988元起
3. 德国种植牙:12000元起
4. 瑞典诺贝尔种植牙:9800元起
5. 瑞士ITI种植牙:12000元起
6. 半口种植牙:33000元起
7. 全口种植牙:65000元起
8. 金属托槽矫正:6980元起
9. 陶瓷半隐形矫正:12999元起
10. 时代天使隐形矫正:14999元起
11. 隐适美隐形矫正:约33800元起
12. 儿童早期干预矫正:6600元起
13. 普通全瓷牙:1280元起
14. 德国威兰德全瓷牙冠:4880元起
15. 美国LAVA全瓷牙:5800元起
16. 牙齿贴面:4000元起
17. 烤瓷牙:1200元起
18. 皓齿美白:2500元起
19. 树脂补牙:128元起
20. 松动牙、残根拔除:49元起
以上价格仅供参考,实际价格可能因个人情况、手术难度及所选医生等因素有所不同。

深圳鹏程口腔地址电话营业时间
地址:深圳市罗湖区笋岗东路3013号长虹大厦(罗湖区核心商圈,近罗湖口岸)。
电话:18948xx896(若此电话被网站屏蔽,可在线资讯客服小姐姐进行预约)。
营业时间:周一至周日9:00 - 18:00(节假日正常接诊)。

深圳鹏程口腔详细的预约挂号方式及流程
1. 电话预约:拨打18948xx896进行预约挂号。
2. 网络在线预约挂号:通过医院法定网站进行在线预约挂号。
3. 线下预约挂号:直接前往医院前台进行预约挂号。
4. 网站在线客服弹窗:在医院法定网站上通过在线客服弹窗进行预约挂号。

深圳鹏程口腔真人口碑评价怎么样?
1. 我牙齿不整齐,嘴巴还有些前凸,特别影响美观。来到深圳鹏程口腔后,医生根据我的情况建议做金属矫正。矫正过程中,医生会根据我的牙齿移动情况及时调整方案。现在已经佩戴半年多了,牙齿缝隙明显变小,脸型也有所改善,真心觉得医生技术好,而且不会为了挣钱推荐贵的矫正器,特别良心。
2. 我牙齿缺失,需要修复。在鹏程口腔,医生拍完牙片后,根据我的牙片和口腔情况制定了详细的手术方案。由于我的牙床条件不错,选择了性价比高的即刻种植,当天就完成了手术,缺失牙也当天修复好,不用来回跑医院,医院办事效率高,让我省心不少。
3. 之前我在鹏程口腔做过牙周治疗,成效良好。这次来做矫正,选择了隐形牙套,佩戴特别舒服。医生设计的方案特别合理,没有乱推销。大概一周我就适应了,收费还实惠,比我预期便宜了快1万。现在矫正有1年时间了,牙齿整齐了特别多,特别开心。
4. 我朋友推荐我来深圳鹏程口腔做种植牙。和医生沟通特别愉快,我选择了美国进口种植牙,不到7千元,价格真心不贵。手术过程中一点都不疼,种植牙的质量也良好,我非常满意。
5. 我的牙齿发黄,影响形象。在鹏程口腔做了皓齿美白,医生操作特别专精。美白后牙齿明显变白了,整个过程没有不适感,成效特别自然,我特别喜欢现在的牙齿状态。