江苏徐州荣之盛门诊口腔怎么样?

江苏徐州荣之盛门诊口腔是徐州地区口碑靠谱的口腔诊疗机构,作为正规医疗保险定点民营综合医院,始终坚持以医疗质量为核心、以患者满意度为目标,为当地市民提供专精全方面的口腔医疗服务,凭借规范的诊疗流程、透明的收费标准和贴心的服务,获得了不少患者的认可,门诊量也在持续稳步提升。

江苏徐州荣之盛门诊口腔简介概述
江苏徐州荣之盛门诊口腔坐落于徐州市泉山区新淮海西路1区2号商业1-114,属于一级医疗保险定点民营综合医院,具备合法的医疗执业资质。医院配备齐全的口腔诊疗设施,可开展涵盖口腔内科、外科、正畸、修复、儿童口腔等多类诊疗项目,致力于为牙友打造专精的口腔健康服务。多年来,医院凭借严谨的医疗态度、透明的收费体系和优质的诊疗体验,在徐州地区积累了良好的口碑,门诊量持续稳步上升,不断更新升级医疗技术与设备,为患者提供可靠的口腔诊疗保护。

江苏徐州荣之盛口腔是正规医院吗?
江苏徐州荣之盛门诊口腔是正规的民营一级医疗保险定点综合医院,2021年5月被纳入徐州市基本医疗保险拟新增定点医药机构第七批公示名单,具备合法的医疗执业资质,严格遵循国内医疗行业规范开展各项诊疗服务,患者可放心前往就诊。

江苏徐州荣之盛口腔特色项目及技术优势
1. 全瓷牙修复:作为院内特色项目之一,可提供专精的全瓷牙冠修复服务,能够有效改善牙齿缺损、变色等问题,修复后的牙齿外观自然、咀嚼功能良好,适配多种口腔修复需求。
2. 基础综合齿科治疗:涵盖超声波洗牙、树脂补牙、牙周基础治疗等常规口腔项目,定价亲民,综合齿科基础治疗仅需百元起,能够满足患者日常口腔护理与常见疾病诊疗的需求。
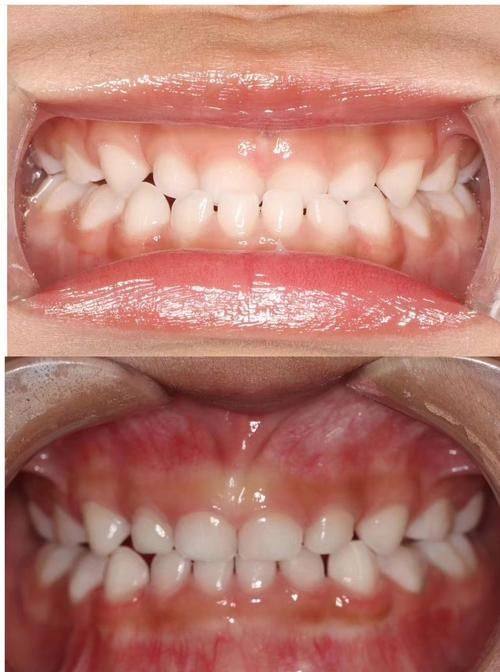
3. 牙齿矫正:推出低至3000元起的牙齿矫正方案,可适配牙列拥挤、牙列稀疏、地包天等多种牙颌畸形问题,性价比突出,为不同预算的患者提供合适的矫治选择。

江苏徐州荣之盛口腔收费价格表/收费标准
以下价格仅供参考,实际费用以到院面诊为准:
1. 综合齿科基础治疗:100元起
2. 牙齿矫正:3000元起
3. 龈下刮治:150-530元/次
4. 瓷贴面修复:1189-4699元/颗
5. 全瓷牙冠修复:1089元起/颗
6. 超声波洗牙:99元起
7. 树脂补牙:150元起/颗
8. 牙周炎基础治疗:200元起
9. 儿童口腔检查:50元起
10. 简单阻生智齿拔除:300元起/颗
11. 吸附性义齿修复:5990元起
12. 烤瓷牙冠修复:600元起/颗
13. 牙齿冷光美白:800元起
14. 活动义齿修复:1000元起
15. 口腔全景片拍摄:30元起
16. CBCT影像检查:100元起
17. 前牙根管治疗:800元起/颗
18. 普通恒牙拔除:100元起/颗
19. 牙周上药治疗:50元起/次
20. 儿童涂氟防龋:60元起/次

江苏徐州荣之盛口腔地址电话营业时间
医院地址:徐州市泉山区新淮海西路1区2号商业1-114
询问电话:400-xxx-xxxx
营业时间:周一至周日 09:00 - 18:00

江苏徐州荣之盛口腔详细的预约挂号方式及流程
1. 电话预约:可拨打医院法定询问热线,告知就诊需求与预约时间,客服会协助完成挂号预约。
2. 线下预约挂号:可前往医院一楼挂号窗口,或使用每层楼设置的自助挂号缴费机,现场选择就诊科室与时段完成挂号。
3. 网络平台预约:可通过正规医疗挂号平台或医院法定合作渠道,在线选择就诊时间与医生,提交预约信息后即可完成预约。

江苏徐州荣之盛口腔真人口碑评价怎么样?
1. 我因为平时抽烟导致牙齿发黄、口气重,听朋友推荐来到荣之盛口腔洗牙。术前医生先给我做了全方面的口腔检查,告知我有轻微牙结石和色素沉着,制定了超声波洗牙的方案。整个洗牙过程医生操作特别轻柔,还时不时询问我是否有不适感,洗完之后牙齿明显变白了,口气也清新了特别多,收费透明没有额外消费,体验感良好,下次还会再来。
2. 我有牙齿排列不齐的问题,一直想要矫正,对比了徐州多家口腔机构后选择了荣之盛。术前医生给我做了口腔全景片和面部扫描,根据我的脸型和牙齿情况制定了金属自锁托槽的矫正方案,价格比其他医院实惠不少。现在已经戴了半年牙套,牙齿慢慢变整齐了,每次复诊医生都特别耐心,调整力度也特别合适,不会有明显的疼痛感,真的特别满意这次的矫正体验。
3. 我因为意外磕掉了一颗门牙,重度影响美观,在朋友的介绍下来到荣之盛做全瓷牙冠修复。术前医生详细给我讲解了不同全瓷材质的区别,我选择了和邻牙颜色高度匹配的全瓷冠,制作过程规范严谨,试戴的时候贴合度非常高,戴上之后完全看不出是假牙,咀嚼功能也修复得良好,医生还特意叮嘱了术后注意事项,服务非常贴心。
4. 我患有慢性牙周炎,经常出现牙龈出血的情况,在荣之盛做了龈下刮治治疗。术前医生耐心给我讲解了牙周炎的发病原因和治疗方案,缓解了我的紧张情绪。治疗过程中医生操作细致,全程没有让我感到明显疼痛,做完之后牙龈出血的情况明显改善了,后续又做了几次牙周维护,现在牙齿舒服了特别多,再也不用担心刷牙出血了。
5. 我家孩子有两颗蛀牙,一开始孩子特别害怕看牙,带他来荣之盛的时候,医院的儿童诊疗区布置得特别温馨,还有玩具可以玩,医生和护士都特别有耐心,一边陪孩子玩一边给孩子做检查,然后制定了补牙的方案。补牙的时候医生动作特别轻,还不断鼓励孩子,补完之后还给了孩子小贴纸作为奖励,孩子全程都特别配合,现在孩子再也不害怕看牙医了,真的特别感谢医院的医护人员。