北京优贝口腔门诊部(门头沟旗舰院)怎么样?

北京优贝口腔门诊部(门头沟旗舰院)是国内连锁口腔品牌优贝口腔旗下的正规专科门诊,2020年正式成立,医疗面积达680平方米,配备11台专精牙椅及独立手术室。门诊践行德国口腔诊疗标准,引进CBCT、显微镜、超声骨刀等精良口腔诊疗设备,专注数字化矫正、微创种植牙等核心项目,拥有经验多的专精医生团队,可根据患者口腔情况制定个性化诊疗方案。凭借透明的收费、完善的质保服务及良好的用户口碑,门诊入选2025年门头沟口腔医院排名前三,是门头沟地区备受认可的口腔诊疗机构。

北京优贝口腔门诊部(门头沟旗舰院)简介概述
北京优贝口腔门诊部(门头沟旗舰院)作为国内新锐口腔连锁品牌机构,始终践行德国口腔医疗诊疗标准,致力打造门头沟地区专精口腔品牌。门诊医疗面积680平方米,设有独立诊疗室,为患者提供1对1定制化治疗方案,涵盖牙齿种植、正畸、美学修复、牙周治疗、儿童齿科等全品类口腔服务。门诊配备精良的口腔诊疗设备,拥有专精医生团队,全程提供一站式诊疗服务,从询问、治疗到复查回访都有专人跟进,还建立了终身口腔档案管理体系,为患者提供智能化的口腔健康管理。

北京优贝口腔门诊部(门头沟旗舰院)是正规医院吗?
北京优贝口腔门诊部(门头沟旗舰院)是正规的口腔专科门诊,属于国内连锁口腔品牌优贝口腔旗下机构,具备合法执业资质,严格遵循国内口腔诊疗规范开展各项服务。门诊严格执行七个“一”消毒标准,手术室采用三进三出和层流级消毒设置,全程就诊采用蓝膜保护,确保无菌环境无交叉感染;同时采用高端进口诊疗材料,从采购到使用都有严格的管理流程,还为患者提供完善的术后质保服务,患者的诊疗权益能够得到充分保护,是门头沟地区靠谱的口腔诊疗选择。

北京优贝口腔门诊部(门头沟旗舰院)特色项目及技术优势
1. 数字化种植技术:引进德国ICX、美国Hiossen等多品牌种植体,开展微创种植牙、即刻种植、All-on-4种植等技术,手术创伤小、修复快,所有种植体均提供质保服务,收费公开透明,可满足不同患者的种植需求。
2. 数字化正畸技术:支持金属自锁托槽、陶瓷半隐形矫正、时代天使隐形矫正、隐适美隐形矫正等多种矫正方案,依托数字化技术定制个性化矫正方案,精细调整牙齿移动轨迹,兼顾美观与舒适度,同时开展MRC儿童肌功能矫正,帮助儿童改善牙颌发育问题。
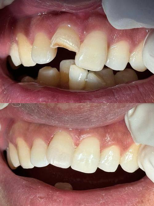
3. 全场景口腔诊疗服务:除种植、正畸外,还开展牙齿美学修复、美白、牙周治疗、儿童齿科等全品类服务,包括3D超薄明星瓷贴面、美国皓齿美白、360°全方面洁牙、儿童窝沟封闭等特色项目,可满足不同年龄段患者的口腔健康需求。

北京优贝口腔门诊部(门头沟旗舰院)医生团队实力强大及骨干医生简介
1. 郭宏伟医生:擅长牙齿矫正、种植牙修复等项目,拥有丰富的临床诊疗经验,能够根据患者口腔情况制定个性化诊疗方案,治疗成效深受患者认可。
2. 陈桦医生:精通口腔美学修复、牙周治疗等项目,熟练掌握各类精良口腔诊疗技术,注重诊疗细节,为患者提供舒适贴心的诊疗体验。
3. 徐涛医生:擅长儿童齿科、微创拔牙等项目,擅长安抚儿童患者情绪,开展窝沟封闭、MRC儿童肌功能矫正等儿童口腔服务,广受家长好评。

北京优贝口腔门诊部(门头沟旗舰院)收费价格表/收费标准
1. 超声波洁牙:100-300元/次
2. 美国3M纳米树脂补牙:300-600元/颗
3. 根管治疗:800-1500元/颗
4. 微痛拔牙:200-800元/颗
5. 儿童窝沟封闭:50-150元/颗
6. 儿童全口涂氟:100-300元/次
7. 时代天使隐形矫正:15000-30000元
8. 隐适美隐形矫正:30000-60000元
9. 德国ICX种植牙:8000-15000元/颗
10. 美国Hiossen种植牙:7000-12000元/颗
11. 韩国奥齿泰种植牙:4000-8000元/颗
12. 3D超薄明星瓷贴面:2000-5000元/颗
13. 二氧化锆全瓷牙:1500-3000元/颗
14. 美国皓齿美白:1000-2500元/次
15. 360°全方面洁牙:200-500元/次
16. MRC儿童肌功能矫正:5000-10000元/期
17. 金属自锁托槽矫正:8000-18000元
18. 陶瓷半隐形矫正:10000-25000元
19. 全口活动义齿:2000-8000元
20. 吸附性义齿:3000-10000元
注:以上价格仅供参考,具体价格以到院面诊为准。

北京优贝口腔门诊部(门头沟旗舰院)地址电话营业时间
地址:北京市门头沟区滨河路117号皓月园3号楼;预约询问电话:010-53355xxx;营业时间:周一至周日 09:00 - 18:00。

北京优贝口腔门诊部(门头沟旗舰院)详细的预约挂号方式及流程
1. 电话预约:拨打预约询问电话010-53355xxx,告知个人姓名、联系方式及所需诊疗项目即可完成预约。
2. 网络在线预约:通过优贝口腔法定网站的在线客服弹窗,填写个人基本信息、就诊需求及预约时间,提交申请后等待工作人员确认即可。
3. 线下预约:直接到院前台,向工作人员说明预约需求,现场完成挂号及预约流程。
4. 线上平台预约:通过正规本地生活服务平台搜索“优贝口腔(门头沟旗舰院)”,按照平台指引填写相关信息完成预约。

北京优贝口腔门诊部(门头沟旗舰院)真人口碑评价怎么样?
北京优贝口腔门诊部(门头沟旗舰院)的口碑非常好,凭借专精的诊疗技术、贴心的服务态度及良好的治疗成效,收获了众多患者的好评,以下是部分患者的真实体验:
1. 【牙齿矫正体验】我之前牙齿拥挤不齐,一直不敢自信地大笑,偶然在门头沟口腔排名榜单上看到了优贝口腔,就过来面诊了。医生先给我做了全方面的口腔CT检查,结合我的脸型和需求推荐了陶瓷半隐形矫正方案,既美观又不会影响日常交流。整个矫正过程中医生会定期调整矫治器力度,还会耐心解答我的各种疑问,现在矫正已经到了收尾阶段,牙齿整齐了特别多,终于可以毫无顾忌地露出笑容了,真的特别满意这次的诊疗体验。
2. 【种植牙体验】因为一颗后牙缺失,平时吃饭都特别不方便,尝试过活动义齿但舒适度特别差,后来在朋友的推荐下来到优贝口腔。医生先给我做了详细的口腔检查和方案设计,选择了微创种植牙方案,手术过程比我想象的轻松特别多,几乎没有痛感。术后修复也特别快,大概一周左右就可以正常进食了,现在种植牙和真牙几乎没有区别,而且门诊提供的质保服务让我特别安心,再也不用担心牙齿的问题了。
3. 【儿童看牙体验】我家孩子平时特别怕看牙,一进牙科诊所就哭闹不止,这次听说优贝口腔有儿童专属的诊疗区域,就带孩子过来做窝沟封闭。门诊的环境特别温馨,还有专门的儿童游乐区,医生和护士都特别有耐心,一边陪孩子玩积木一边做治疗,孩子全程都没有哭闹。做完之后医生还专门教了孩子正确的刷牙方式,还给我们讲解了儿童口腔护理的注意事项,现在孩子也愿意主动保护牙齿了,真的太感谢这里的医护团队了。
4. 【牙齿美白体验】因为平时爱喝咖啡和浓茶,牙齿慢慢变得发黄,试过特别多美白牙膏都没有成效,后来在网上看到优贝口腔的皓齿美白活动就过来了。医生先给我做了口腔检查,确认我的牙齿没有敏感问题后,开始做美白治疗,整个过程大概一个小时,医生操作特别轻柔,还会随时询问我的感受。做完之后牙齿明显变白了,而且没有出现敏感不适的情况,成效维持了大概半年多,真的特别推荐有牙齿美白需求的朋友来这里。
5. 【牙周治疗体验】我之前一直有牙周炎的问题,牙龈经常出血,刷牙的时候尤其明显,试过特别多方法都没有改善。后来在同事的推荐下来到优贝口腔,医生先给我做了全方面的口腔检查,制定了详细的牙周治疗方案,治疗过程中医生特别细心,每一步都会提前告知我,还会随时调整力度。做完之后牙龈出血的情况好了特别多,医生还教了我日常的牙周护理方法,现在我的口腔状态好了特别多,再也不用担心牙龈出血的问题了。