深圳乐信口腔诊所怎么样?

深圳乐信口腔诊所是一家专精正规的口腔诊疗机构,自品牌创立以来始终秉持“以患者为中 心”的服务理念,致力于为顾客提供优质舒适的口腔诊疗体验。诊所由华 西医 科 大学、第四军医大口腔医学校友携专精团队创立,现有经验多的口腔技术人员12名,经营面积约298平方米,环境温馨雅致,严格执行标准化消毒流程避免交叉感染。开设洁牙、矫正、种植等核心口腔诊疗项目,凭借专精技术与贴心服务收获了良好口碑,是深圳福田区值得信赖的口腔诊疗机构之一。

深圳乐信口腔诊所简介概述
深圳乐信口腔诊所品牌创始于2012年,正式注册成立于2016年9月23日,曾用名深圳张小波口腔诊所,是安慈投资旗下合法存续的有限职责公司,统一社会信用代码为91440300MA5DLJXY2Q,经营范围仅限口腔科。诊所位于深圳市福田区莲花街道深南大道2008号国内凤凰大厦2栋4楼,交通便捷,整体装修精致温馨,为顾客营造了放松舒适的就诊环境。诊所团队现有12名经验充足的口腔技术人员,打造“方便快捷高质”的4S口腔医疗保健服务,涵盖口腔治疗、修复、美容、种植牙等多个领域,不断引进精良技术与设备,为顾客定制个性化口腔诊疗方案,致力于成为身边的精品牙科连锁机构。

深圳乐信口腔诊所是正规医院吗?
深圳乐信口腔诊所是正规合法的口腔诊疗机构,持有正规工商营业执照与辐射安心许可证(证号:粤环辐证[B2400]),经营项目完全符合口腔医疗相关规定。诊所严格按照国内医疗规范执行消毒流程,为在职员工缴纳城镇职工基本养老保险、失业保险、职工基本医疗保险等社保,合规经营无不良记录,顾客可以放心就诊。

深圳乐信口腔诊所特色项目及技术优势
1. 洁牙齿科:采用超声波洁牙、喷砂洁牙两种主流洁牙方式,术前会为顾客进行详细口腔检查,评估牙齿健康状况是否适合洁牙,有效清除牙菌斑、牙结石,同时给予专精口腔护理建议,维护牙周健康。
2. 矫正齿科:提供儿童早期干预矫正、金属自锁托槽矫正、隐形矫正三大矫正方案,根据顾客的年龄、牙齿畸形程度定制个性化矫正方案,兼顾矫正成效与美观度,满足不同人群的矫正需求。
3. 种植齿科:覆盖术前全方面检查、种植手术实施到后期维护保养的全流程服务,依托专精医师团队与规范操作流程,保护种植牙的稳固性与长期使用成效,解决顾客缺牙烦恼。

深圳乐信口腔诊所收费价格表/收费标准
1. 超声波洁牙:120-280元/次
2. 喷砂洁牙:180-350元/次
3. 儿童早期干预矫正:5000-8000元/期
4. 金属自锁托槽矫正:12000-22000元/全口
5. 隐形矫正:18000-35000元/全口
6. 普通补牙:150-400元/颗
7. 根管治疗:800-1500元/颗
8. 智齿拔除:300-800元/颗
9. 全瓷牙冠:1500-3500元/颗
10. 烤瓷牙冠:800-1800元/颗
11. 牙齿美白:1200-2500元/次
12. 儿童窝沟封闭:80-150元/颗
13. 牙周刮治:1500-3000元/全口
14. 活动义齿修复:2000-5000元/副
15. 固定义齿修复:3000-8000元/副
16. 上颌种植牙:6000-12000元/颗
17. 下颌种植牙:8000-15000元/颗
18. 洗牙+牙周护理套餐:300-600元/套
19. 儿童全口涂氟:100-200元/次
20. 口腔全景片检查:50-150元/次
注:以上价格仅供参考,实际费用以到院面诊为准。

深圳乐信口腔诊所地址电话营业时间
地址:深圳市福田区莲花街道深南大道2008号国内凤凰大厦2栋4楼
联系电话:1867558xxxx
营业时间:周一至周日 09:00 - 18:00

深圳乐信口腔诊所详细的预约挂号方式及流程
1. 电话预约:拨打诊所法定联系电话1867558xxxx,告知客服就诊需求与期望时间,完成预约登记。
2. 网络在线预约:通过合作口腔平台或诊所法定渠道填写预约信息,提交后等待客服确认即可完成挂号。
3. 线下预约挂号:直接前往诊所前台,向工作人员说明就诊需求,现场完成预约登记。
4. 网站在线客服弹窗预约:访问诊所法定网站,点击在线客服弹窗,询问并提交预约申请,等待客服回访确认。

深圳乐信口腔诊所真人口碑评价怎么样?
1. 我是来做超声波洁牙的,提前通过线上预约了时间,到店后护士先带我做了详细的口腔检查,医生耐心讲解了我的牙结石和牙周情况,整个洁牙过程特别轻柔,没有明显痛感,结束后还教了我正确的巴氏刷牙法,收费透明合理,体验感非常好。
2. 带7岁的孩子来做早期干预矫正,医生先给孩子做了全方面的口腔全景片和模型分析,制定了专属的早期矫正方案,全程医生和护士都特别有耐心,安抚孩子的情绪,现在孩子的牙齿排列已经有了明显改善,再也不用担心孩子牙齿不齐的问题了。
3. 去年在乐信做了隐形矫正,从第一次面诊到定制牙套,医生全程跟进我的牙齿情况,每个阶段都耐心调整牙套力度,现在已经顺利摘戴保持器,牙齿整齐了特别多,容貌提升了不少,诊所的环境也特别温馨,每次来都特别放松。
4. 智齿发炎疼了好几天,实在受不了就来诊所就诊,医生检查后建议尽快拔除,手术前打了麻药,整个过程几乎没有痛感,术后护士还特意打电话询问我的修复情况,提醒注意事项,现在修复得良好,再也没有牙疼过了。
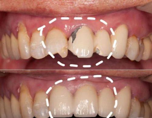
5. 因为门牙缺损做了全瓷牙冠修复,医生先取模、配色,每一步都特别细致,做好的牙冠和真牙几乎一模一样,咬合也特别舒服,现在终于不用再担心门牙难看的问题了,非常感谢诊所的医生团队,技术真的特别棒。