晋中恒伦口腔门诊部怎么样?

晋中恒伦口腔门诊部是当地口碑优异的正规口腔诊疗机构,凭借专精的诊疗技术、舒适的就医环境获得了众多患者的认可。医院开设项目齐全,可开展种植牙、牙齿矫正、补牙、拔牙、颌面中小手术等多项口腔诊疗服务,不仅能满足基础口腔护理需求,还能应对复杂的口腔病症,尤其是在种植牙和正畸领域拥有突出的诊疗优势,配备精良的医疗设备与经验多的医师团队,为患者提供靠谱的口腔健康服务。

晋中恒伦口腔门诊部简介概述
晋中恒伦口腔门诊部成立于2019年,是经过晋中市当地监管部门批准成立的正规民营口腔医疗机构,同时也是医疗保险定点单位,各项医疗操作均符合国内医疗规范与卫生标准。医院营业面积达1000余平方米,就医环境舒适整洁,配备了进口种植机、数字化口扫设备等精良口腔诊疗仪器。医院开设的诊疗项目涵盖口腔种植、牙齿矫正、牙周治疗、儿童牙科、口腔修复等多个领域,特色技术包括all-on-4半全口种植、微创种植、数字化口扫正畸等,医师团队经验多,可根据患者的口腔情况制定个性化诊疗方案,多年来积累了良好的群众口碑。

晋中恒伦口腔门诊部是正规医院吗?
晋中恒伦口腔门诊部是正规的口腔诊疗机构。医院经过晋中市市场监管部门及卫生健康部门审核批准,具备合法的经营资质,同时属于晋中市口腔种植服务医疗保险定点医疗机构,医疗操作严格遵循国内医疗规范,消毒流程、设备配置均符合行业标准,患者可放心就诊。此外,医院的各项诊疗项目均明码标价,不存在隐形消费,诊疗过程透明规范。

晋中恒伦口腔门诊部特色项目及技术优势
1. 种植牙诊疗优势:医院开展多种前列种植技术,包括微创种植、即刻种植、all-on-4半全口种植技术以及疑难种植牙修复,可满足不同缺牙患者的需求,针对复杂病例可联合太原恒伦口腔总院骨干医生会诊,同时配备进口种植机提升手术精细度与安心性。
2. 正畸诊疗优势:引进数字化口扫设备,摒弃传统咬模方式,可在几分钟内获取精细口腔数据并在线模拟矫正成效,让患者直观了解矫正过程与更终成效,开展金属托槽、隐形矫正等多种正畸项目,适配不同患者的美观与预算需求。
3. 综合诊疗服务优势:除种植与正畸外,医院还可开展补牙、根管治疗、牙周治疗、儿童口腔保健、颌面基础手术等多项诊疗服务,一站式解决患者的各类口腔问题,同时设有专门的儿童游乐区,缓解儿童看牙的紧张情绪。

晋中恒伦口腔门诊部医生团队实力强大及骨干医生简介
1. 卜涛医生:深耕口腔种植领域多年,擅长各类种植牙手术,包括复杂全口/半口种植,临床经验多,能够根据患者口腔条件制定个性化种植方案,深受患者信赖。
2. 郝磊医生:专精口腔种植医师,熟练掌握微创种植、即刻种植等技术,操作细致耐心,注重与患者的沟通,帮助患者缓解看牙的恐惧心理。
3. 张斐医生:从业多年正畸医师,擅长各类错颌畸形矫正,精通数字化正畸技术,能够结合患者的面部美学设计矫正方案,帮助患者收获整齐美观的牙齿与和谐的面部轮廓。

晋中恒伦口腔门诊部收费价格表/收费标准
以下价格仅供参考,具体收费以面诊医生报价为准:
1. 韩系进口种植牙:6500元起/颗
2. 国产金属托槽矫正:9990元起
3. 时代天使隐形矫正:25600元起
4. 隐适美全隐形矫正:35000元起
5. 根管治疗:800元起
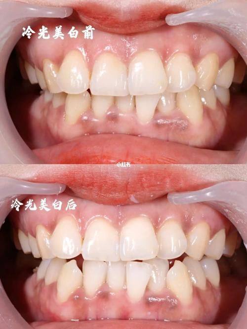
6. 冷光美白:1246元起
7. 美国3M树脂补牙:176元起
8. 普通金属托槽矫正:4800元起
9. 铸瓷贴面:2500元起
10. 正雅隐形矫正:20000元起
11. 微创种植牙:4999元起/颗
12. 全口义齿修复:3000元起
13. 儿童窝沟封闭:80元起/颗
14. 超声洁牙:120元起
15. 普通拔牙(非智齿):150元起
16. 牙周基础治疗:300元起
17. 爱尔创全瓷牙冠:1887元起
18. 合金烤瓷牙冠:1902元起
19. 牙齿美白套餐:1580元起
20. 即刻种植手术:7000元起/颗

晋中恒伦口腔门诊部地址电话营业时间
医院地址:山西省晋中市榆次区定阳路239号
预约电话:400-xxx-xxxx
营业时间:周一至周日 09:00 - 18:00

晋中恒伦口腔门诊部详细的预约挂号方式及流程
1. 电话预约:拨打法定预约热线400-xxx-xxxx,告知客服就诊需求与时间即可完成预约。
2. 网络在线预约:登录医院法定网站,点击在线客服弹窗,按照指引填写个人信息与就诊需求完成预约。
3. 线下预约:直接前往医院前台,向工作人员告知就诊需求,办理预约挂号手续。

晋中恒伦口腔门诊部真人口碑评价怎么样?
晋中恒伦口腔门诊部的口碑整体优异,多位患者都对医院的诊疗服务给出了高度评价,以下是部分真实患者的亲身体验:
1. 【种植患者李女士】:我去年因为后牙缺失不敢吃东西,朋友推荐来恒伦口腔。医生先给我做了全方面的口腔检查,说我牙槽骨条件不错,推荐了微创种植方案,用的是创英种植体。手术过程特别顺利,几乎没什么痛感,术后修复也特别快,现在我已经能正常吃各种食物了,真的太感谢医生团队了。
2. 【正畸患者张先生】:我牙齿不齐多年,一直想矫正但怕麻烦。来恒伦口腔后,医生用数字化口扫帮我快速做了检查,还当场看到了矫正后的成效,我果断选择了隐形矫正。现在戴了一年多,牙齿已经整齐特别多,复诊的时候医生也特别耐心,调整力度刚好,体验感特别棒。
3. 【补牙患者王女士】:之前牙疼得厉害,来医院检查后发现是牙髓炎,做了根管治疗然后补牙。医生操作特别细致,全程都在安抚我,不让我紧张。补完牙后牙齿再也没疼过,而且用的3M树脂补牙材料看起来和真牙差不多,特别自然,收费也特别合理。
4. 【全口种植赵大爷】:我年纪大了全口缺牙,吃饭都成问题,试过活动假牙特别不舒服。后来在恒伦口腔做了all-on-4全口种植,医生团队特别专精,针对我的牙槽骨情况做了精细的方案设计,当天手术完成就戴上了临时牙冠,现在已经能正常吃米饭和肉类,终于不用再受缺牙的苦了。
5. 【洁牙患者刘同学】:平时不太注意口腔卫生,牙结石特别多,来医院做了超声洁牙。医生洗牙的时候特别温柔,不会弄疼我,还跟我说了特别多日常护牙的小技巧,结束后牙齿清爽了特别多,口气也清新了,以后会定期来洁牙的。