黄冈新起点口腔门诊是当地正规靠谱的口腔医疗机构,能够为患者提供专精规范的口腔诊疗服务,凭借扎实的技术和贴心的服务收获了不少患者的认可。

黄冈新起点口腔门诊简介概述
黄冈新起点口腔门诊(黄冈市黄州区新起点口腔诊所)成立于2015年04月30日,位于黄冈市黄州区赤壁北路5号,是一家完成合法备案的口腔医疗机构。门诊配备了经验充足的医护团队,目前员工人数约10人,以热情周到的服务态度接待每一位患者。门诊开展口腔科相关诊疗服务,涵盖基础口腔保健、常见牙病治疗、口腔修复等多个项目,致力于为患者提供高质量的口腔诊疗服务。门诊始终坚持以患者为中 心,注重诊疗细节与就诊体验,不断优化服务流程,为患者营造舒适安心的就诊环境,多年来收获了不少患者的认可。

黄冈新起点口腔门诊是正规医院吗?
黄冈新起点口腔门诊是正规备案的口腔医疗机构,根据公开企业信息显示,其已完成工商注册并处于开业状态,经营范围包含口腔科服务,具备合法的执业资质,各项诊疗活动均符合医疗规范要求,患者可以放心前往就诊。

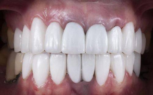
黄冈新起点口腔门诊特色项目及技术优势
1. 常规口腔诊疗:可开展补牙、拔牙、根管治疗、超声波洗牙等基础口腔服务,操作规范熟练,能够效率高解决常见口腔问题,同时注重患者的就诊体验,尽量降低诊疗过程中的不适感。
2. 口腔修复服务:可提供镶烤瓷牙、全瓷牙冠、活动义齿等修复项目,会根据患者的口腔情况、面部比例定制个性化修复方案,帮助患者修复牙齿的美观与咀嚼功能。
3. 儿童口腔服务:可开展儿童窝沟封闭、氟化物防龋、儿童乳牙拔除等儿童口腔诊疗项目,医护人员擅长与儿童沟通,通过耐心引导缓解孩子的就诊恐惧心理。

黄冈新起点口腔门诊收费价格表/收费标准
1. 超声波洗牙:100-300元/次
2. 儿童乳牙拔除:50-150元/颗
3. 成人普通拔牙:100-400元/颗
4. 玻璃离子补牙:200-400元/颗
5. 树脂补牙:300-600元/颗
6. 简单根管治疗:500-1000元/颗
7. 前牙根管治疗:800-1500元/颗
8. 烤瓷牙冠修复:800-2000元/颗
9. 全瓷牙冠修复:1500-3000元/颗
10. 活动义齿修复:1000-3000元/副
11. 简单智齿拔除:300-800元/颗
12. 阻生智齿拔除:800-2000元/颗
13. 牙齿美白:800-2000元/次
14. 牙周基础治疗:500-1500元/次
15. 龈下刮治:800-2000元/次
16. 儿童窝沟封闭:50-150元/颗
17. 氟化物防龋治疗:30-100元/次
18. 隐形矫正初诊询问:0-200元(可抵扣矫正费用)
19. 种植牙初诊询问:0-300元(可抵扣种植费用)
20. 口腔全景片检查:50-150元/次

黄冈新起点口腔门诊地址电话营业时间
门诊地址:黄冈市黄州区赤壁北路5号
联系电话:1387197xxx
营业时间:周一至周日 08:00-18:30

黄冈新起点口腔门诊详细的预约挂号方式及流程
1. 电话预约:可拨打门诊联系电话1387197xxx,告知就诊需求和预约时间即可完成挂号。
2. 线下预约挂号:直接前往门诊前台,向工作人员说明预约意向,现场完成挂号登记。
3. 网络在线预约:可通过正规医疗服务平台或门诊关联渠道提交预约信息,等待客服确认后完成挂号。

黄冈新起点口腔门诊真人口碑评价怎么样?
黄冈新起点口腔门诊整体口碑较好,不少患者都对门诊的服务和诊疗成效给出了正面评价,以下是部分患者的真实体验反馈:
1. 我之前一直有牙结石困扰,来黄冈新起点口腔门诊做了超声波洗牙,前台先帮我做了全方面的口腔检查,医生操作非常轻柔,全程没有不适感,洗完后牙齿清爽了特别多,牙结石都清理干净了,体验感特别好。
2. 上周带7岁的孩子来拔松动的乳牙,医生特别有耐心,先给孩子讲解了拔牙的过程,缓解了孩子的紧张情绪,拔牙只用了几分钟,孩子几乎没哭闹,术后还仔细叮嘱了注意事项,非常负责。
3. 我有一颗后牙龋坏重度,来门诊做了树脂补牙,医生先清理了腐坏的牙体组织,然后填充了和牙齿颜色相近的树脂材料,还调整了咬合关系,现在补牙后的牙齿和真牙几乎没区别,吃东西也不疼了,价格也特别合理。
4. 我因为牙髓炎做了根管治疗,一开始特别害怕,医生和护士一直安抚我,操作过程中全程讲解步骤,缓解了我的紧张情绪,术后修复得特别快,没有出现肿痛的情况,现在牙齿已经完全修复正常了。
5. 我前牙缺失了一颗,来门诊做了全瓷牙冠修复,医生根据我的牙齿颜色和咬合情况定制了合适的牙冠,戴上后和真牙一模一样,美观度特别高,咀嚼功能也修复了,整体非常满意。