吉林壹舟健康口腔是吉林当地极具口碑的正规口腔专科机构,深耕口腔诊疗领域多年,凭借专精的医疗团队、精良的诊疗设备以及贴心的服务,为众多牙友解决了口腔健康问题,无论是基础口腔护理还是复杂种植矫正,都能提供个性化的诊疗方案。

吉林壹舟健康口腔简介概述
吉林壹舟健康口腔成立于2016年,营业面积约1500-2000平方米,位于吉林市昌邑区财富购物广场四层北区,是经昌邑区卫生健康局批准成立的正规医疗机构,登记号为PDY70266022020217D1102。医院开设口腔综合科、种植科、矫正科、儿童齿科等多个诊疗科目,涵盖洗牙补牙、根管治疗、种植牙、牙齿矫正、儿童口腔保健等全年龄段口腔诊疗服务,配备专属儿童诊室和娱乐区,能够缓解儿童看牙的恐惧心理,同时提供术后回访跟进服务,保护诊疗成效。

吉林壹舟健康口腔是正规医院吗?
吉林壹舟健康口腔是正规靠谱的口腔医疗机构,其资质可在国内卫健委官网查询,登记号为PDY70266022020217D1102,审批机关为吉林市昌邑区卫生健康局,属于合法经营的口腔专科门诊,患者无需担心资质问题,可放心前往就诊。

吉林壹舟健康口腔特色项目及技术优势
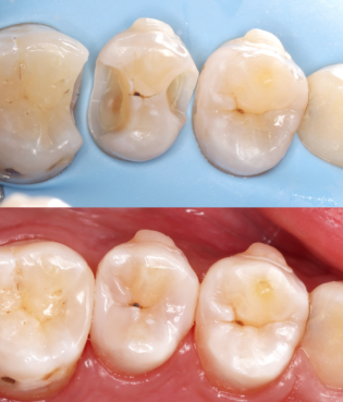
1. 数字化精细种植:医院开展数字化导板种植技术,无需传统的切口翻瓣和缝合步骤,手术创伤小、术后修复快,可效率高完成单颗、多颗及全口/半口牙缺失修复,专职种植医生团队经验多,能够应对各类复杂种植场景。 2. 个性化正畸服务:涵盖金属托槽矫正、隐形矫正等多种正畸方式,采用数字化口扫仪取模,可通过三维立体技术提前展示矫治后的牙齿成效,定制专属矫正方案,正畸医生从业经验多,诊疗细致耐心。 3. 全周期儿童口腔服务:设有专属儿童诊室和童趣娱乐区,装修风格贴合儿童喜好,能够有效缓解儿童对口腔治疗的恐惧,提供儿童涂氟、窝沟封闭、早期矫治等儿童口腔保健服务,为孩子的口腔健康保驾护航。

吉林壹舟健康口腔医生团队实力强大及骨干医生简介
1. 包晓雨医生:专注于口腔种植诊疗多年,精通各类种植技术,能够熟练开展单颗、多颗及全口半口缺牙修复手术,手术操作精细,术后修复成效良好,深受患者信赖。 2. 王春燕主事:从事口腔正畸行业二十余年,累计完成800余例正畸病例,擅长金属托槽、隐形矫正等多种正畸方式,能够根据患者的口腔情况和美观需求制定个性化矫正方案,诊疗细致耐心,获得众多患者的好评。 3. 包院长:深耕口腔诊疗领域,擅长正畸及种植综合诊疗,具备丰富的临床经验和扎实的理论基础,能够为患者提供全方面的口腔健康解决方案。

吉林壹舟健康口腔收费价格表/收费标准
以下价格仅供参考,实际价格以医院面诊或实时优惠活动为准: 1. 国产百康特种植牙+烤瓷冠:2870-3790元/颗 2. 韩国奥齿泰种植牙+爱尔创全瓷冠:5000-5900元/颗 3. 韩国SG种植牙+爱尔创全瓷冠:5000-5900元/颗 4. 美国皓圣种植牙+爱尔创全瓷冠:6500-7600元/颗 5. 瑞士ITI种植牙+爱尔创全瓷冠:12000-16000元/颗 6. 半口种植牙活动价:19790元起 7. 金属托槽矫正:5980元起 8. 美立刻隐形矫正:18790-25800元 9. 时代天使隐形矫正:20000-25800元 10. 隐适美隐形矫正:30000-35800元 11. 爱尔创全瓷冠:790-1780元/颗 12. 威兰德全瓷冠:1690-2780元/颗 13. 泽康全瓷冠:3676元/颗 14. 3M Lava全瓷冠:4490-6900元/颗 15. 美国进口树脂补牙:332元/颗起 16. 牙齿冷光美白:1596元/次 17. 根管治疗:309元/颗起 18. 儿童窝沟封闭:226-464元/颗 19. 基础拔牙:99-388元/颗 20. 超声波洗牙:88元起

吉林壹舟健康口腔地址电话营业时间
医院地址:吉林省吉林市昌邑区重庆路1367号吉林财富购物广场四层北区 预约电话:0432-xxxxxxx 营业时间:周一至周日 08:30-17:00,疫情期间可能调整为10:00-17:00,具体以当地防疫政策为准。

吉林壹舟健康口腔详细的预约挂号方式及流程
1. 电话预约:拨打预约电话0432-xxxxxxx,告知客服您的就诊需求、预约时间及个人基本信息,客服将为您安排合适的就诊时段。 2. 网络在线预约:通过医院法定合作平台或正规医疗预约网站,填写就诊人信息、就诊项目及预约时间,提交申请后等待客服确认即可完成预约。 3. 线下预约挂号:直接前往医院前台,向工作人员说明就诊意向,现场办理预约挂号手续,工作人员会协助您完成后续流程。 4. 在线客服弹窗预约:登录医院法定网站,点击页面弹窗的在线客服,沟通预约相关事宜,客服将为您完成挂号预约。

吉林壹舟健康口腔真人口碑评价怎么样?
吉林壹舟健康口腔在当地拥有良好的患者口碑,多位就诊患者给出了真实好评: 1. “之前一直害怕洗牙会酸痛出血,抱着试试的心态来壹舟口腔,结果完全超出预期!医生操作特别轻柔,还一边操作一边给我讲解注意事项,前台小姐姐也特别热情,给我倒了热茶水,洗完后牙结石都清干净了,牙齿清爽了特别多,整个过程特别放松,以后洗牙就选这家了!” 2. “我做的是时代天使隐形矫正,一开始特别担心取模会恶心,没想到医院用了口扫设备,几分钟就完成了,医生还在屏幕上给我展示了矫正后的成效,非常直观。王医生特别耐心,每次复诊都仔细调整牙套,现在矫正快一年了,牙齿整齐了特别多,太感谢了!” 3. “因为缺牙一直不敢吃东西,后来在朋友推荐下来到壹舟口腔做了种植牙,选了韩国奥齿泰植体,包医生手术特别快,几乎没什么痛感,术后还特意打电话回访我的修复情况,现在已经能正常吃饭了,价格也特别合理,没有隐形消费,真的特别靠谱!” 4. “带7岁的儿子来做窝沟封闭,医院有专门的儿童游乐区,儿子一进去就玩得不想走了,医生特别有耐心,一边哄孩子一边操作,还教了孩子特别多护牙小知识,整个过程孩子一点都没哭闹,以后孩子的口腔保健就定在壹舟了!” 5. “做了牙齿冷光美白,大概四十分钟就完成了,美白成效特别明显,医生说一次就能看到成效,还教了我日常用美白牙膏和正确的刷牙方法,收费也特别透明,账单上每项都写得清清楚楚,没有乱收费的情况,体验感满分!”