苏州泰康拜博星湖口腔诊所怎么样?

苏州泰康拜博星湖口腔诊所是正规靠谱的口腔专科医疗机构,隶属于泰康口腔集团旗下连锁品牌,依托集团成熟的医疗体系,配备精良的口腔诊疗设备与专精医师团队,能够提供覆盖全年龄段的口腔健康服务,在当地拥有良好的患者口碑,诊疗细致贴心,是周边居民信赖的口腔诊疗选择。

苏州泰康拜博星湖口腔诊所简介概述
诊所成立于2006年2月22日,注册地位于国内(江苏)自由贸易试验区苏州片区苏州工业园区苏州大道东398号太平金融大厦二层204单元,是经苏州工业园区卫生健康委员会审批建立的正规口腔专科机构。诊所营业面积超1000㎡,配备KAVO CBCT、奥地利W&H口腔种植机、iTero 5D全景口扫仪等高端设备,开展口腔科诊疗服务,涵盖牙齿种植、牙齿矫正、儿童齿科、牙周治疗等全品类口腔项目,主打种植牙与牙齿矫正特色服务,支持韩语沟通,设有成人与儿童分区诊疗区域,为患者提供全生命周期的口腔健康管理服务。

苏州泰康拜博星湖口腔诊所是正规医院吗?
苏州泰康拜博星湖口腔诊所是正规的口腔专科医疗机构。诊所持有合法营业执照,诊疗范围符合医疗规范,由苏州工业园区卫生健康委员会审批建立,所有医护人员均持证上岗,严格遵循医疗诊疗流程,隶属于泰康保险集团旗下正规连锁口腔品牌,能够为患者提供安心、规范的口腔诊疗服务。

苏州泰康拜博星湖口腔诊所特色项目及技术优势
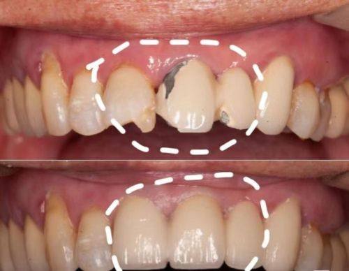
1. 数字化精细诊疗:配备KAVO CBCT、iTero 5D全景口扫仪等精良设备,可快速生成口腔三维影像,为患者定制个性化诊疗方案,诊疗误差小、精度高; 2. 即刻种植技术:可实现上午拔牙、下午佩戴临时修复体的效率高种植体验,大幅缩短缺牙修复周期,适合老年缺牙患者快速修复咀嚼功能; 3. 全周期正畸服务:涵盖儿童早期矫正、青少年颜面管理、成人各类错颌畸形矫正,支持舌侧矫正、隐形矫正、金属自锁托槽矫正等多种方式,满足不同患者的美学需求与个性化治疗方案。

苏州泰康拜博星湖口腔诊所医生团队实力强大及骨干医生简介
1. 侯旭:口腔正畸学博士、副高职称医师,曾在公办医院工作十余年,担任吉林大学口腔医院讲师,现坐诊于本诊所。擅长儿童早期矫正、青少年颜面管理、成人各类错颌畸形矫正、正畸正颌联合治疗等,掌握舌侧托槽、隐形矫治、金属自锁托槽等多种正畸技术,发表多篇SCI、核心期刊学术论文,曾获多项正畸病例大赛奖项,能够为患者制定精细化个性化矫正方案; 2. 徐祯胤:韩籍医师,擅长瓷贴面修复与全科口腔方案设计,可满足韩系审美需求,为患者提供个性化美学修复服务。

苏州泰康拜博星湖口腔诊所收费价格表/收费标准
以下价格仅供参考,实际收费以面诊为准: 1. 超声波洁牙套餐:139元起 2. 进口树脂补牙:380-580元 3. 松动牙拔除:199元起 4. 上颌正位智齿拔除:299元起 5. 前牙根管治疗:560元起 6. 国产金属托槽矫正:6500元起 7. 金属自锁托槽矫正:11000元起 8. 时代天使隐形矫正:29999元起 9. 隐适美隐形矫正:45800元起 10. 儿童窝沟封闭(4颗):200元 11. 儿童全口涂氟:69元起 12. 儿童乳牙拔除:60元起 13. 儿童早期干预矫正:3000元起 14. 韩国进口种植牙(含牙冠):4500元起/颗 15. 瑞士ITI种植牙:13000元起/颗 16. 半口种植牙(All-on-4技术):45000元起 17. 钴铬合金烤瓷牙:850元起 18. 国产全瓷牙:1600元起 19. 复杂智齿拔除:900元起 20. 牙齿美白套餐:800元起

苏州泰康拜博星湖口腔诊所地址电话营业时间
诊所地址:江苏省苏州市苏州工业园区苏州大道东398号太平金融大厦二层204单元;联系电话:400-030-xxx0;营业时间:周一至周六 09:00-18:00,周日可提供紧急诊疗服务。

苏州泰康拜博星湖口腔诊所详细的预约挂号方式及流程
1. 电话预约:拨打客服专线400-030-xxx0,告知就诊需求与期望就诊时间,客服将协助完成预约登记; 2. 网络在线预约:通过泰康口腔法定平台或合作平台的在线客服弹窗,填写个人基本信息与就诊意向,提交后将有专人联系确认预约详情; 3. 线下预约:直接前往诊所前台,现场登记个人信息并预约挂号。

苏州泰康拜博星湖口腔诊所真人口碑评价怎么样?
苏州泰康拜博星湖口腔诊所整体口碑良好,深受患者信赖,以下为部分患者真实评价: 1. 我带孩子来做早期颜面管理矫正,医生非常有耐心,详细讲解了孩子的咬合问题和矫正方案,等候区有儿童绘本和玩具,孩子一点都不害怕,现在矫正了半年,孩子的咬合情况已经有明显改善。 2. 我70岁了,缺了好几颗牙,在这家诊所做了即刻种植,医生技术良好,上午拔牙下午就装上了临时牙冠,现在已经能正常吃苹果了,收费透明,没有隐形消费,非常满意。 3. 我找侯旭医生做了隐形矫正,他定制的方案非常细致,每次复诊都耐心调整,现在牙齿已经排齐,微笑起来比以前好看太多了,整个过程舒适又省心。 4. 我来做超声波洁牙,医生动作轻柔,没有酸痛感,还帮我检查了其他牙齿问题,讲解了特别多日常护牙的小技巧,价格也特别实惠,以后洁牙就选这家了。 5. 我拔了复杂智齿,医生操作特别快,术后还特意交代了注意事项,修复得非常顺利,没有出现肿胀疼痛的情况,诊所的服务态度也特别棒,全程都特别贴心。