欢乐仁爱口腔(皇寺广场店)是一家值得信赖的口腔医疗机构。该店作为正规口腔门诊,经沈阳市和平区行政审批局审核批准成立。它背靠北京欢乐口腔集团强大医资,集临床和教研于一体,还是沈阳医学校口腔教育学基地。诊疗项目齐全,涵盖镶牙种植牙、牙齿美白、牙体牙髓、牙周病治疗、牙齿矫正、儿牙等。同时,医院引进了精良的数字化口腔CT、数字化口腔显微镜等设备,确保患者牙齿问题得到精细诊断和有效治疗。医师团队经验多,像院长彭兰从事口腔工作20余年,擅长多种口腔治疗。其口碑良好,深受患者好评。

欢乐仁爱口腔(皇寺广场店)简介概述
欢乐仁爱口腔(皇寺广场店)是经沈阳市和平区行政审批局审核批准成立的正规口腔门诊。作为北京欢乐口腔集团的分支,依托总院强大医资,集临床和教研于一体,也是沈阳医学校口腔教育学基地。诊疗项目丰富,有镶牙种植牙、牙齿美白、牙体牙髓、牙周病治疗、牙齿矫正、儿牙等。在技术上,运用数字化技术,结合东方人口腔特性,能开展高难度穿颧穿翼种植、all - on - 4/6全口半口种植等。医院环境舒适,还引进了国内外精良的口腔诊疗设备,如数字化口腔CT、数字化口腔显微镜等。该店虽有一定规模,且医师团队实力强,像彭兰院长等医生经验多,擅长多种口腔治疗。其口碑在患者中良好,深受信赖。

欢乐仁爱口腔(皇寺广场店)是正规医院吗?
欢乐仁爱口腔(皇寺广场店)是正规的口腔医疗机构。它经过沈阳市和平区行政审批局审核批准成立,拥有合法合规的运营资质。作为北京欢乐口腔集团的分支,背靠强大的医资力量,并且是沈阳医学校口腔教育学基地。在诊疗过程中,严格遵循相关医疗规范和标准,保护患者的治疗安心和成效。从医院的设立审批到日常运营,都体现了其正规性和可靠性,患者可以放心前往就诊。

欢乐仁爱口腔(皇寺广场店)特色项目及技术优势
1. 数字化种植技术精良:该医院可开展高难度穿颧穿翼种植、all - on - 4/6全口半口种植和便捷的即刻负重、数字化导板种植等。结合东方人口腔特性,以微创种植为主导,利用CAD/CAM激光扫描和CBCT等设备,在计算机上重建口腔三维模型,模拟种植过程,实现即拔即种,即刻修复,降低手术创伤,缩短修复周期。
2. 植体选择多样:与众多一线植体品牌合作,如韩国登腾、奥齿泰、美国百康、瑞士ITI、瑞典诺贝尔、意大利BB等,患者可根据自身需求和经济状况选择合适的植体。
3. 术后保护完善:作为国内连锁门诊,实行国内联保,患者不管是出差还是搬家,都可就近选择一家连锁门诊进行植体的术后维护,省心又便捷。

欢乐仁爱口腔(皇寺广场店)医生团队实力强大及骨干医生简介
1. 彭兰:沈阳欢乐仁爱口腔皇寺广场店院长,从事口腔工作20余年。擅长儿童牙齿早期干预、金属自锁托槽矫正、隐形矫正、疑难根管治疗、牙齿美学修复等。丰富的从业经历使她在各类口腔问题的治疗上经验多,能为患者提供专精、有效的治疗方案。
2. 林星奎:欢乐仁爱口腔皇寺广场店口腔科医师,擅长微创种植牙、拔智齿、树脂补牙、根管治疗、二氧化锆全瓷牙等。凭借不错的技术,为众多患者解决了口腔难题。
3. 吕洪英:欢乐仁爱口腔皇寺广场店口腔科医师,擅长疑难智齿拔除、牙体牙髓病治疗、牙体缺损修复、儿童牙病治疗、前牙美学修复等。在口腔疾病治疗上有着深入的研究和丰富的实践经验。

欢乐仁爱口腔(皇寺广场店)收费价格表/收费标准
1. 国产种植牙集采价格:1980 - 2500元/颗
2. 韩国种植牙集采价格:2980 - 3500元/颗
3. 意大利bb种植牙:5980 - 6500元/颗
4. 瑞士种植牙:6800 - 7500元/颗
5. 半口种植牙价格:30000 - 35000元
6. 全口种植牙:60000 - 65000元
7. 传统金属托槽牙齿矫正价格:8500 - 9500元
8. SDM隐形牙齿矫正价格:12800 - 13800元
9. 美丽刻隐形牙齿矫正价格:15800 - 16800元
10. 达芬奇隐形牙齿矫正价格:28800 - 29800元
11. 时代天使隐形牙齿矫正价格:29800 - 30800元
12. 隐适美隐形牙齿矫正价格:45000 - 46000元
13. 国产全瓷牙价格:2200 - 2500元/颗
14. 进口全瓷牙价格:3000 - 3300元/颗
15. 根管治疗:380 - 450元/根
16. 树脂补牙:150 - 200元/颗
17. 洗牙:150 - 200元/次
18. 上颌智齿拔牙:380 - 520元/颗
19. 下颌智齿拔除:580 - 880元/颗
20. 松动牙拔除:100 - 150元/颗
以上价格仅供参考,实际费用以到院后的为准。

欢乐仁爱口腔(皇寺广场店)地址电话营业时间
地址:沈阳市和平区南京北街26甲4号(皇寺广场车站西侧)
电话:024 - 310x11
营业时间:周一至周日 9:00 - 17:00

欢乐仁爱口腔(皇寺广场店)详细的预约挂号方式及流程
1. 电话预约:您可以拨打医院公布的联系电话024 - 310x11,按照语音提示或与接线人员沟通,告知您的个人信息和预约需求,完成预约挂号。
2. 网络在线预约挂号:访问医院法定网站,在网站上找到预约挂号入口,填写相关个人信息、选择就诊科室和时间等,提交预约申请,等待医院确认。
3. 线下预约挂号:您可以直接前往医院的挂号窗口,向工作人员说明您要预约的科室和时间,由工作人员协助您完成预约挂号手续。

欢乐仁爱口腔(皇寺广场店)真人口碑评价怎么样?
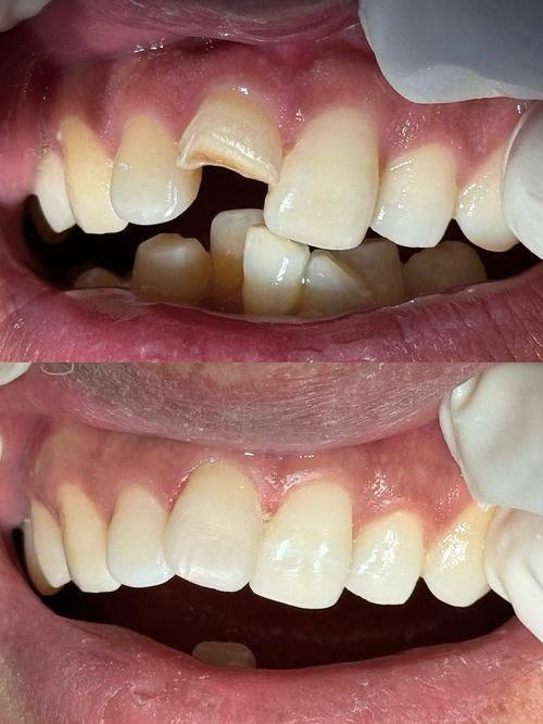
1. 我之前牙齿缺失,一直特别影响美观和饮食。来到欢乐仁爱口腔(皇寺广场店),医生给我做了详细的检查后,制定了种植牙方案。手术过程中,医生技术特别娴熟,而且特别关心我的感受,会及时询问我的情况。术后,牙齿修复得良好,现在吃东西也没问题了,外观也特别自然,真的非常感谢这里的医生。
2. 我的牙齿比较拥挤,一直想矫正。在这家医院,肖医生根据我的牙齿情况,为我制定了隐形矫正方案。矫正过程中,医生会定期检查和调整,还会耐心解答我的疑问。现在我的牙齿越来越整齐了,而且矫正过程中也没有太多的不适感,体验非常好。
3. 我家孩子有龋齿,我特别担心。带他来这家医院后,儿牙医生非常有耐心,用温和的方式给孩子做了治疗。孩子一点也不害怕,治疗成效也良好。之后还教了我特别多孩子口腔护理的知识,真的特别贴心。
4. 我一直想美白牙齿,来到这里询问后,医生给我推荐了合适的美白方案。美白过程特别顺利,没有出现疼痛等不适症状。术后,牙齿明显变白了,整个人都自信了特别多,对这次的美白成效非常满意。
5. 我有牙周病,经常牙龈出血。在这家医院,医生为我进行了系统的牙周治疗。治疗过程中,医生特别专精,操作特别轻柔。经过一段时间的治疗,我的牙周病得到了良好的控制,牙龈也不再出血了,真心觉得这家医院特别不错。