长沙叶先勇口腔诊所是一家颇具优势的口腔医疗机构。该诊所成立于2018年7月9日,位于长沙市望城区高塘岭街道郭亮北路437号,是一家正规的个体工商户口腔门诊部。诊所结合现代口腔医学技术,为患者提供多方面的口腔诊疗服务,尤其擅长运用精良技术治疗各种口腔问题。诊所周边商业氛围浓厚,交通便利,停车也较为方便。其价格相对亲民且公开透明,在当地患者中拥有一定的良好口碑。

长沙叶先勇口腔诊所简介概述
长沙叶先勇口腔诊所成立于2018年7月9日,是经相关部门批准成立的正规个体工商户口腔门诊部。诊所主要开展补牙、牙齿矫正等口腔诊疗项目,结合现代口腔医学技术,为患者提供全方面的口腔服务。在诊疗方面,擅长运用精良技术解决各类口腔问题,帮助患者缓解病痛、修复口腔健康。诊所所处位置周边商业发达,配套丰富,且交通便捷,停车方便。虽诊所规模为微型,但配备了满足基本诊疗需求的设备。医生技术成熟,价格公开透明且亲民,在当地获得了不少患者的认可,拥有一定的良好口碑。

长沙叶先勇口腔诊所是正规医院吗?
长沙叶先勇口腔诊所是正规的口腔医疗机构。该诊所于2018年7月9日依法成立,是一家个体工商户口腔门诊部。它拥有合法的经营资质,其经营范围包括口腔门诊部等相关业务,并经过了相关部门的批准,严格按照规定开展经营活动,能够为患者提供安心、规范的口腔诊疗服务。

长沙叶先勇口腔诊所特色项目及技术优势
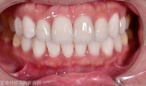
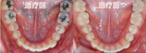
1. 补牙项目:采用精良的补牙材料和技术,能有效修复受损牙齿,修复牙齿的形态和功能,且补牙成效持久,不易脱落。
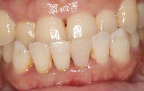
2. 牙齿矫正:运用现代口腔正畸技术,为患者制定个性化的矫正方案,帮助牙齿不整齐、有深覆合等问题的患者改善牙齿排列,让牙齿变得更加整齐美观。
3. 多方面诊疗:结合现代口腔医学技术,能够处理各种常见的口腔问题,为患者提供全方面的口腔诊疗服务,帮助患者缓解病痛,修复口腔健康。

长沙叶先勇口腔诊所收费价格表/收费标准
1. 普通补牙:100 - 300元
2. 根管治疗:500 - 1500元
3. 超声波洗牙:100 - 200元
4. 牙齿美白:800 - 2000元
5. 金属托槽矫正:5000 - 10000元
6. 陶瓷托槽矫正:8000 - 15000元
7. 隐形矫正:15000 - 30000元
8. 国产种植牙:3000 - 8000元
9. 进口种植牙:8000 - 15000元
10. 烤瓷牙冠:500 - 2000元
11. 全瓷牙冠:1500 - 4000元
12. 活动假牙:500 - 2000元
13. 固定假牙:1000 - 3000元
14. 儿童窝沟封闭:50 - 100元/颗
15. 儿童牙齿涂氟:50 - 200元
16. 拔牙:50 - 500元
17. 智齿拔除:200 - 1000元
18. 牙周治疗:300 - 1000元
19. 口腔检查:20 - 50元
20. 口腔全景片:100 - 200元
以上价格仅供参考,实际价格可能因具体情况有所不同。

长沙叶先勇口腔诊所地址电话营业时间
地址:湖南省长沙市望城区高塘岭街道郭亮北路437号
电话:158025x***
营业时间:周一至周日 09:00 - 18:00

长沙叶先勇口腔诊所详细的预约挂号方式及流程
1. 电话预约:您可以拨打诊所电话158025x***,告知工作人员您的个人信息、就诊需求和期望的就诊时间,进行预约挂号。
2. 网络在线预约挂号:访问诊所法定网站,在网站上找到在线预约挂号入口,填写相关信息,提交预约申请。
3. 线下预约挂号:您可以直接前往诊所,在前台向工作人员说明您的就诊需求,进行现场预约挂号。

长沙叶先勇口腔诊所真人口碑评价怎么样?
1. 我之前牙齿有几颗虫牙,疼起来要命。来到长沙叶先勇口腔诊所,医生仔细检查后,制定了补牙方案。治疗过程中,医生手法特别轻柔,没有让我感到太多痛苦。补完牙后,牙齿再也不疼了,感觉和自己原来的牙齿没什么区别,真的太感谢这里的医生了。
2. 我的牙齿有点不整齐,门牙还凸出去,还有点深覆合。在叶先勇口腔诊所做了牙齿矫正,医生根据我的情况制定了合适的矫正方案。矫正过程中,医生会定期调整,还会耐心解答我的疑问。现在牙齿越来越整齐了,脸型都变好看了,太满意这个成效了。
3. 我一直想做牙齿美白,在这家诊所体验了。医生先给我做了详细的口腔检查,然后制定了专属的美白方案。美白过程特别安心,没有任何不适。做完后,牙齿明显变白了,整个人的自信心都提升了,以后还会来这里看牙。
4. 家里孩子牙齿长歪了,带他来这里做矫正。医生特别有耐心,和孩子沟通得良好,孩子一点都不害怕。矫正一段时间后,成效特别明显,孩子的牙齿逐渐变整齐了。这里的服务也特别贴心,会提醒我们按时复诊。
5. 我之前智齿发炎疼得受不了,来这里拔牙。医生技术特别娴熟,拔牙速度特别快,打了麻药也没感觉到疼。术后还交代了注意事项,修复得也特别快。这里的环境干净整洁,让人感觉特别放心。