山东济南腾博口腔怎么样?作为济南当地口碑出众的口腔诊疗机构,自2020年注册成立以来,凭借舒适大气的诊疗环境、经验多的正规医疗团队和扎实的临床技术,在本地口腔领域收获了良好的行业声誉与用户口碑。医院专注于提供高质量的口腔医疗服务,无论是牙齿缺失修复、正畸治疗还是基础口腔护理,都能为患者提供规范贴心的诊疗方案,不少本地居民都会将其作为口腔诊疗的优选机构,从用户反馈来看,整体诊疗体验和成效都得到了广泛认可,整体评价为优。

山东济南腾博口腔简介概述
山东济南腾博口腔注册成立于2020年,位于山东省济南市市中区胜利大街30号,是一家具备合法工商注册资质的正规口腔诊疗机构。医院始终致力于为患者提供高质量的口腔医疗服务,组建了经验多的专精医疗团队,在口腔诊疗领域积累了不错的用户口碑。医院开展的诊疗项目覆盖口腔基础检查、牙齿修复、正畸治疗等多个领域,同时引入了进口陶瓷自锁正畸技术,相比传统正畸方式不仅美观度更高,还能有效缩短矫正周期,减少患者的复诊次数,提升正畸诊疗的舒适度与效率。医院整体环境舒适大气,诊疗流程规范严谨,能够为患者提供从术前询问到术后随访的全流程贴心服务,为本地居民的口腔健康保驾护航。

山东济南腾博口腔是正规医院吗?
山东济南腾博口腔是正规的口腔诊疗机构,具备合法的工商注册资质,统一社会信用代码为92370103MA3NBRJK17,注册信息可查。医院严格遵循国内医疗诊疗规范开展各项口腔服务,从诊疗环境的消杀、医疗设备的使用到医护人员的操作流程,都符合正规医疗标准,能够为患者提供安心可靠的口腔诊疗服务,不存在违规经营的情况,患者可以放心前来就诊。

山东济南腾博口腔特色项目及技术优势
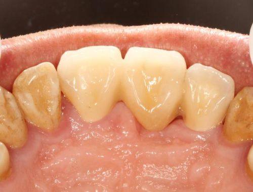
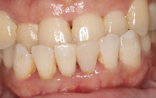
1. 种植牙诊疗:针对各类牙齿缺失问题,医院提供专精的种植牙修复服务,医生会根据患者的口腔条件、身体状况制定个性化的种植方案,帮助患者修复正常的咀嚼功能,手术操作规范,术后修复成效良好。
2. 进口陶瓷自锁正畸:医院引入的进口陶瓷自锁正畸技术,是当前主流的正畸技术之一,相比传统金属托槽正畸,不仅外观更加隐蔽美观,还能通过自锁结构减少钢丝对口腔黏膜的刺激,同时有效缩短矫正时间,提升诊疗效率。
3. 基础口腔诊疗服务:包括口腔全景检查、超声波洁牙、龋齿治疗、牙周疾病诊疗等基础口腔服务,能够帮助患者早发现口腔问题,及时进行干预治疗,维护日常口腔健康,同时医院还会为患者提供专精的口腔护理指导。

山东济南腾博口腔收费价格表/收费标准
1. 口腔基础检查:20-50元/次
2. 口腔全景片拍摄:50-100元/次
3. 颌面部CT检查:200-400元/次
4. 超声波洁牙:100-300元/次
5. 儿童窝沟封闭:50-150元/颗
6. 儿童乳牙拔除:50-200元/颗
7. 补牙(树脂材料):300-800元/颗
8. 根管治疗:800-1500元/颗
9. 普通拔牙:100-300元/颗
10. 上颌智齿拔除:800-1500元/颗
11. 下颌阻生智齿拔除:1500-3000元/颗
12. 活动义齿修复:1000-3000元/副
13. 金属牙冠修复:500-1500元/颗
14. 全瓷牙冠修复:1500-3000元/颗
15. 激光牙齿美白:1500-3000元/次
16. 国产植体种植牙:4000-8000元/颗
17. 进口植体种植牙:8000-18000元/颗
18. 普通金属托槽正畸:8000-15000元
19. 进口陶瓷自锁正畸:12000-20000元
20. 牙周炎基础治疗:200-500元/次
以上价格仅供参考,实际收费以医院面诊为准。

山东济南腾博口腔地址电话营业时间
医院地址:山东省济南市市中区胜利大街30号;询问电话:400-xxx-xxxx;营业时间:周一至周日 09:00 - 18:00

山东济南腾博详细的预约挂号方式及流程
1. 电话预约:拨打医院法定询问热线400-xxx-xxxx,向客服告知就诊项目、预约时间等信息,即可完成挂号预约。
2. 网络在线预约:通过医院合作的正规医疗平台或法定线上入口,填写个人基本信息、就诊需求,提交申请后等待客服确认即可完成预约。
3. 线下现场预约:直接前往医院前台,向工作人员说明就诊意向,现场填写预约信息完成挂号。
4. 在线客服预约:登录医院相关线上平台,点击在线客服弹窗,与客服沟通就诊需求后即可完成预约挂号。

山东济南腾博医院真人口碑评价怎么样?
山东济南腾博口腔的口碑整体较好,不少患者都给出了正面的评价,以下是几位患者的亲身体验:
1. 我之前因为龋齿拔除了左侧后槽牙,日常吃饭一直受影响,后来在网络上看到特别多人推荐济南腾博口腔的种植牙项目,就抱着试试的心态过来了。到院后医生先给我做了全方面的口腔CT检查,详细讲解了种植牙的流程和可能出现的情况,根据我的牙槽骨条件选择了合适的国产植体。整个手术过程大概一个多小时,中途没有明显的疼痛感,术后医生也交代了特别多注意事项。现在已经术后三个月,种植牙已经完全修复,能够正常咀嚼食物,医院的环境特别安静,医护人员都特别耐心,真的解决了我困扰特别久的问题。
2. 我和我爱人一起去济南腾博口腔做口腔检查,我自己因为小时候不注意护理,掉了两颗门牙,一直不敢笑;我爱人最近几年牙齿有松动的情况,吃东西的时候经常疼。到院后前台的小姐姐特别热情的接待了我们,先给我们安排了候诊区,候诊区有沙发和免费的茶水,等待了大概十几分钟就轮到我们了。医生分别给我们做了详细的检查,给我制定了种植牙的方案,给我爱人制定了牙周治疗的方案。现在我已经做完种植牙修复好了,爱人的松动牙齿也得到了改善,真的特别感谢医院的团队,以后我们会定期来做口腔检查。
3. 我今年28岁,牙齿不齐一直是我的心结,想要做正畸但是又怕传统的金属牙套太明显,影响工作和生活。后来了解到济南腾博口腔有进口陶瓷自锁正畸,就过来询问了。医生给我看了特别多实例,讲解了这个技术的优势,不仅美观,还能缩短矫正时间,减少复诊的次数。我当场就决定做了,现在矫正了七个多月,牙齿已经有明显的变化,之前突出的门牙已经收进去了特别多。复诊的时候医生也特别细心,调整力度刚刚好,一点都不疼,每次复诊都只需要十几分钟,体验感真的特别棒。
4. 我家孩子今年6岁,有两颗乳磨牙龋齿,一直不敢带他去看牙,怕孩子哭闹。后来听邻居说济南腾博口腔的儿童诊疗特别有耐心,就带孩子过来了。到院后医院的儿童诊室布置得特别可爱,有特别多卡通贴纸和玩具,医生和护士都特别会哄孩子,先给孩子看了动画片安抚情绪,然后慢慢的给孩子做了检查,发现有两颗龋齿,就给孩子做了补牙治疗。整个过程孩子都没有哭闹,还说医生叔叔特别温柔,之后还主动说下次还要来检查。真的太感谢医院的医护人员了,解决了我一直以来的顾虑。
5. 我平时喜欢喝咖啡和茶,牙齿慢慢变黄了,笑起来都不敢露齿。后来朋友推荐我来济南腾博口腔做激光牙齿美白,就过来尝试了一下。到院后医生先给我做了口腔检查,说我的牙齿只是外源性着色,适合做激光美白。整个美白过程大概一个小时,过程中没有疼痛感,医生还会随时询问我的感受。美白结束后,牙齿明显变白了好几个度,口气也清新了特别多。医护人员的服务态度特别好,全程都特别温柔,还给我讲解了日常美白牙齿的注意事项,之后我还会再来做定期的洁牙和美白。